





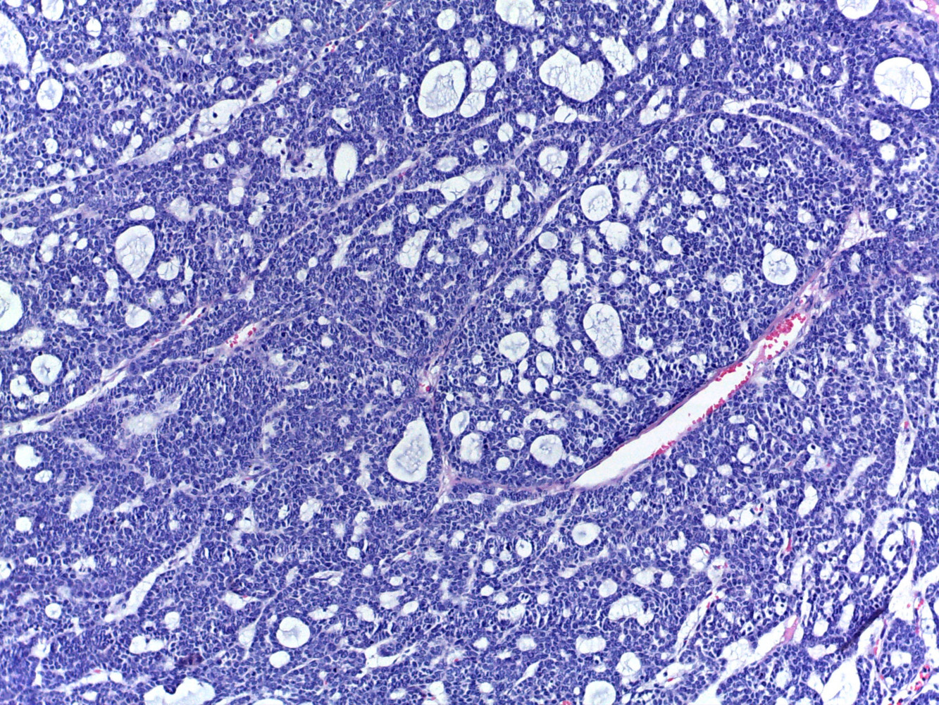
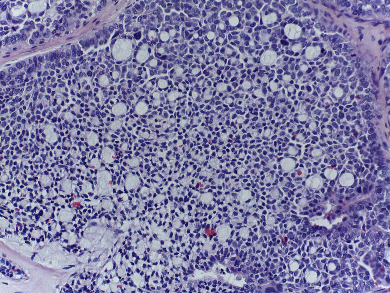
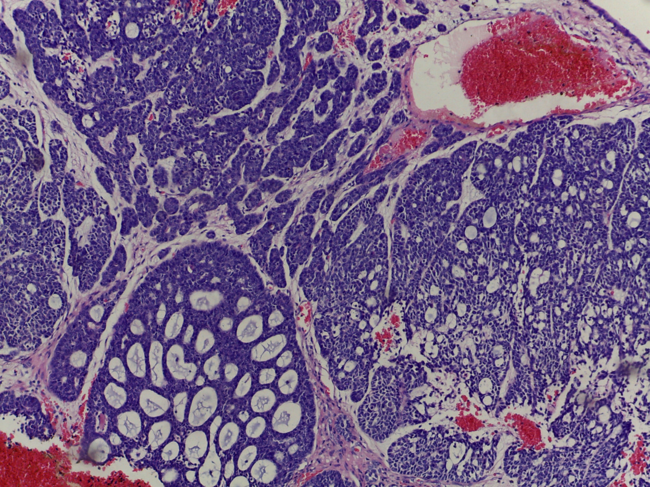
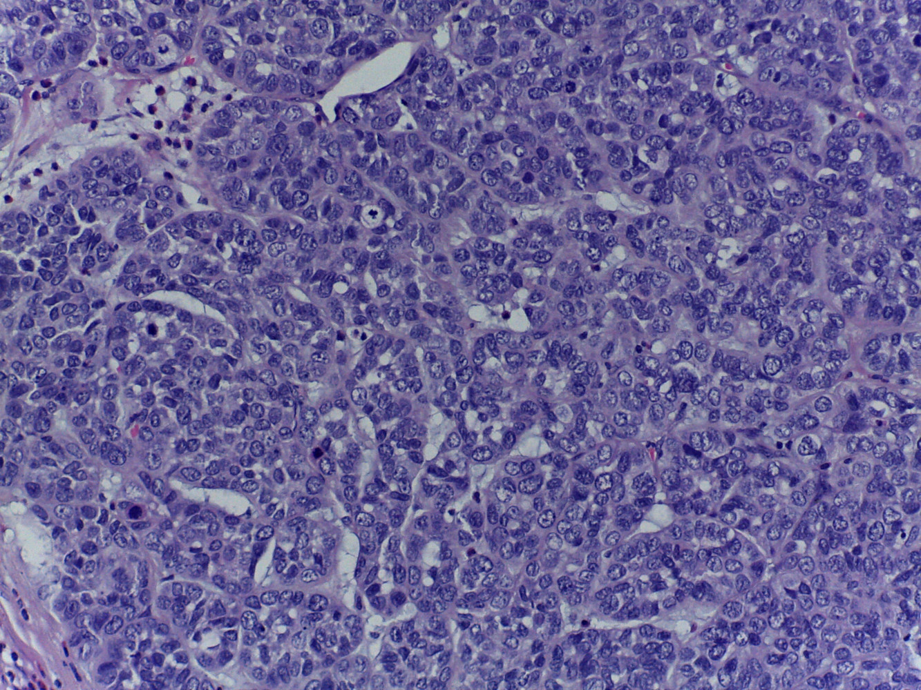
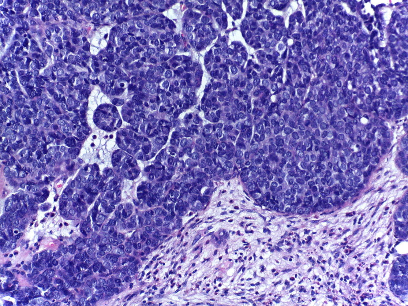
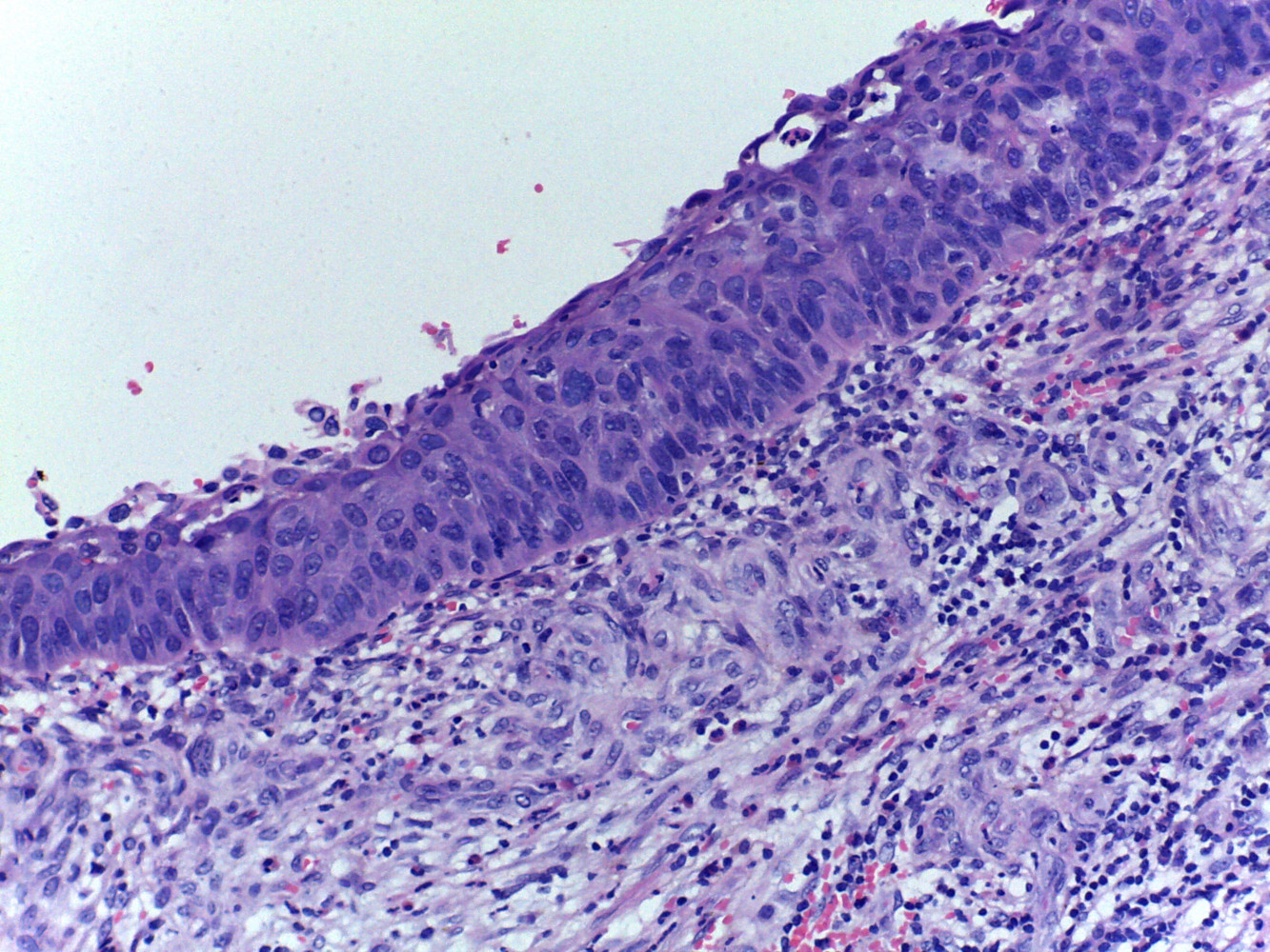
Diagnóstico: Carcinoma multifenotipico sinonasal asociado a VPH
Comentario: Anteriormente conocido como carcinoma con características semejantes al carcinoma adenoideo quístico asociado a VPH, este carcinoma se ha descrito hasta ahora solamente en tracto sinonasal, tiene características histológicas semejantes al carcinoma adenoideo quístico con componente cribiforme y tubular y un componente de carcinoma epidermoide in situ en el epitelio superficial . Todos los casos descritos están asociados a infección por VPH .