HISTORIA CLÍNICA
Mujer 68 años, tabaquismo intenso desde la juventud a razón de 2 cajetillas diarias por más de 10 años.
Inicia su PA con tos productiva, disnea “nocturna” posterioremente se agregó pérdida de peso.
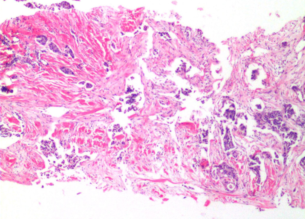
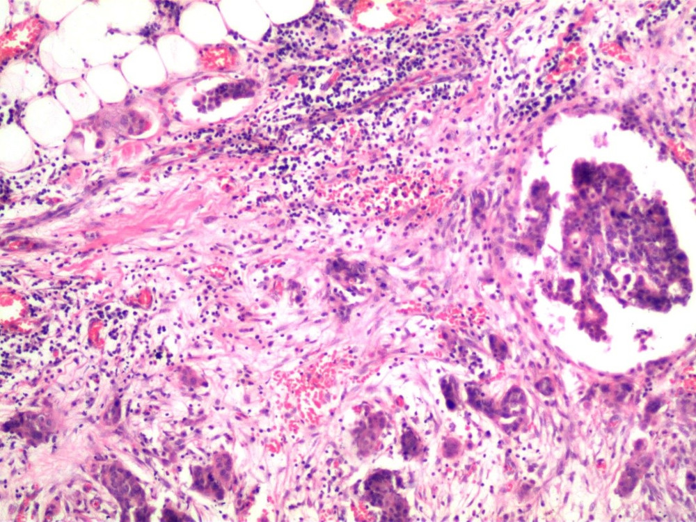
Acude con médico quien solicita Rx de tórax, identificando una lesión parahiliar derecha. Se toma biopsia por punción (FOTOS 1 Y 2)
Figura 1

Figura 2

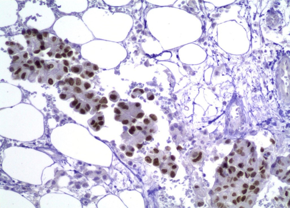
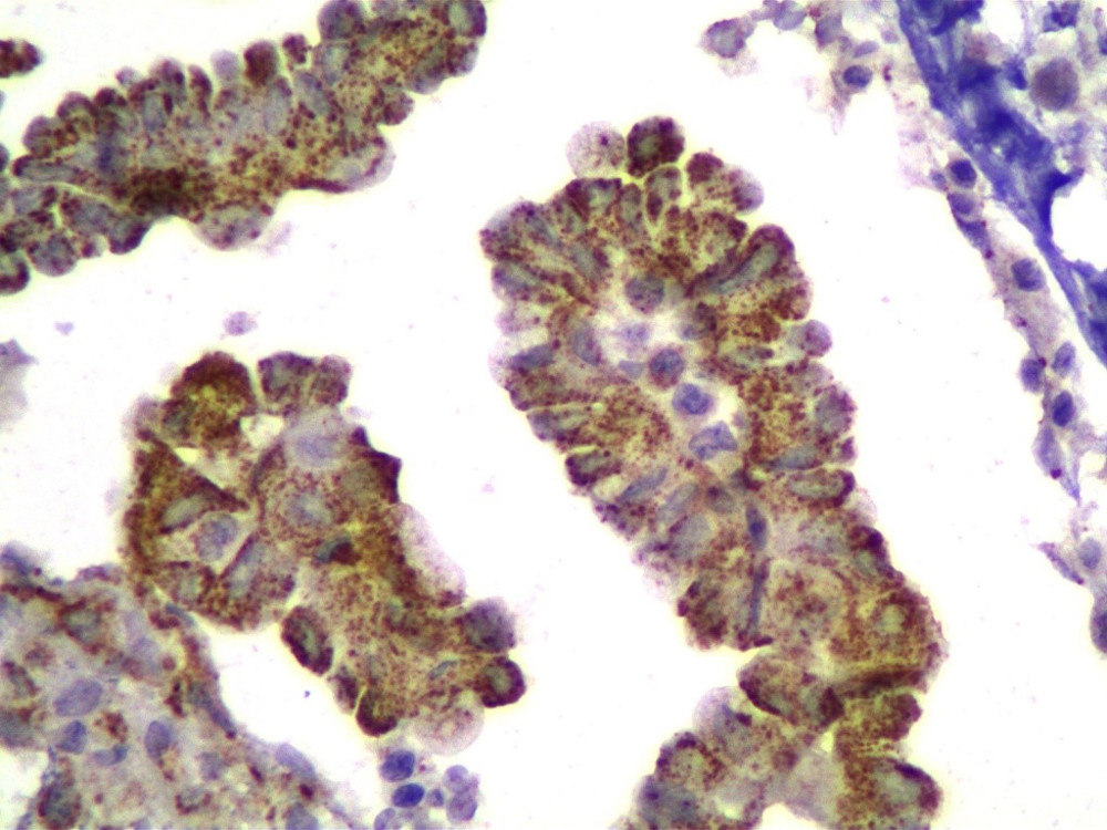
Figura 3

RESULTADOS DE INMUNOHISTOQUÍMICA:
TTF-1

NAPSIN-A

PREGUNTAS:
1) CUÁL ES SU DIAGNÓSTICO ?
2) QUE TERAPÉUTICA PROPONDRÍA PARA ESTA PACIENTE Y QUE PRUEBAS SOLICITARÍA PARA COMPLEMENTO AL DIAGNÓSTICO?
3) CUÁLES FACTORES PRONÓSTICOS DE INTERÉS BUSCARÍA EN ESTA PACIENTE?
QUE SIGNIFICADO TENDRÍA EN ESTE PACIENTE REALIZAR LA CARGA MUTACIONAL TUMORAL?
1) ¿CUÁL ES SU DIAGNÓSTICO?
Adenocarcinoma invasor, predominantemente acinar con áreas micropapilares, no mucoproductor primario de pulmón, con extensión a pleura y tejidos blandos.
Clasificación IASLC/ATS/ERC
2) ¿QUÉ TERAPÉUTICA PROPONDRÍA PARA ESTA PACIENTE Y QUE PRUEBAS SOLICITARÍA PARA COMPLEMENTO AL DIAGNÓSTICO?
Pruebas: EGFR, ALK (D5F3), ROS-1 Y PD-L1. Se puede buscar BRAF, KRAS Y MET
Se propone terapéutica blanco-molecular y / o inmunoterapia
3) ¿CUÁLES FACTORES PRONÓSTICOS DE INTERÉS BUSCARÍA EN ESTA PACIENTE?
¿QUÉ SIGNIFICADO TENDRÍA EN ESTE PACIENTE REALIZAR LA CARGA MUTACIONAL TUMORAL?
Buscar: expresión de PD-L1 e inestabilidad microsatélite.
La carga mutacional tumoral ha emergido como factor predictivo para respuesta a inmunoterapia o de resistencia. Se define como el el número total de mutaciones no sinónimas presentes en un tumor. Los principales mecanismos que contribuyen al rango mutacional son el daño a la repararación del DNA así como mutaciones en los genes de replicación. Se anexa bibliografía.
BIBLIOGRAFIA
The 2015 World Health Organization Classification of Lung Tumors Impact of Genetic, Clinical and Radiologic Advances Since the 2004 Classification. William D. Travis, MD,* Elisabeth Brambilla, MD,† Andrew G. Nicholson, MD,‡ Yasushi Yatabe Journal of Thoracic Oncology . Volume 10, Number 9, September 2015.
Wanyin Lim, Carole A. Ridge, Andrew G. Nicholson, Saeed Mirsadraee. The 8th lung cancer TNM classification and clinical staging system: review of the changes and clinical implications. Quant Imaging Med Surg 2018;8(7):709-718.
Mariam Alexander, Jose Galeas, Haiying Cheng. Tumor mutation burden in lung cancer: a new predictive biomarker for immunotherapy or too soon to tell?. J Thorac Dis 2018;10(Suppl 33):S3994-S3998
J Thorac Oncol 2017 Feb;12(2):208-222
Skov BG, Skov T. Appl Immunohistochem Mol Morphol 2017;25(7):453-459.