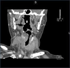
Mujer de 61 años con padecimiento de 1 año de evolución caracterizado por tumor en cuello, disfonía y disfagia progresiva.
Se le realizó tiroidectomía total y laringectomía.











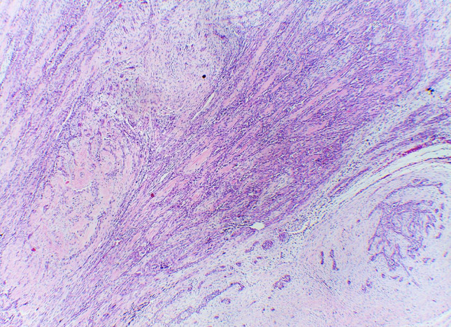
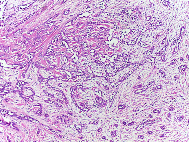
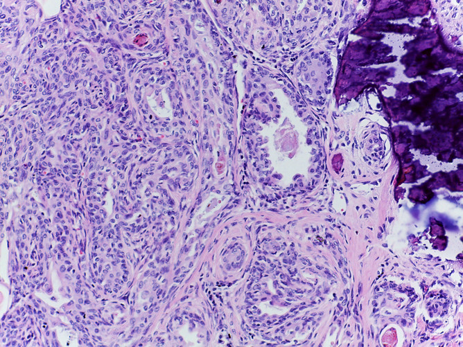
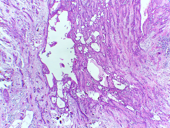
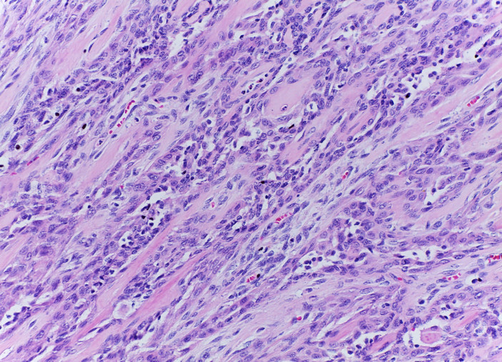
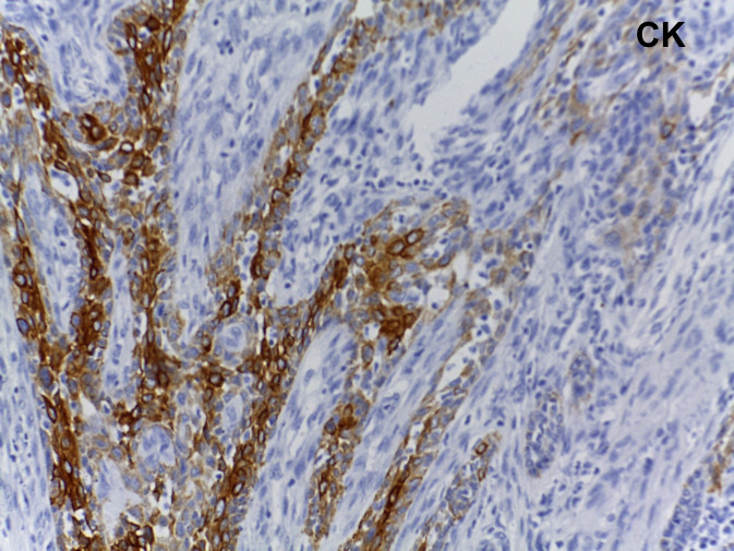
Tumor de células fusiformes con diferenciación semejante a timo (SETTLE por sus siglas en inglés).
Cheuk, W., Jacobson, A. & Chan, J. Spindle Epithelial Tumor with Thymus-Like Differentiation (SETTLE): A Distinctive Malignant Thyroid Neoplasm with Significant Metastatic Potential. Mod Pathol 13, 1150–1155 (2000). https://doi.org/10.1038/modpathol.3880212
Chan JK, Rosai J . Tumors of the neck showing thymic or related branchial pouch differentiation: a unifying concept. Hum Pathol 1991; 22: 349–367.