CASO CLINICO:
Varón de 14 años de edad con antecedente de presentar hace 4 meses debilidad proximal de miembros torácicos, dificultad progresiva para la elevación de los mismos por arriba de los hombros hasta presentar imposibilidad para flexionar los codos.
Dos meses después se agrega dificultad para bajar y subir escaleras y para la marcha, progresiva, hasta no poder realizarla.
Dificultad para la deglución y pérdida ponderal de 15 Kg.
A la EF se corroboran los síntomas mencionados así como atrofia muscular proximal tanto de miembros superiores como inferiores. CK 6050 U/I, DHL 2272 U/L, TGO 266, TGP 192, Globulinas 2.2, Alb 3.4.

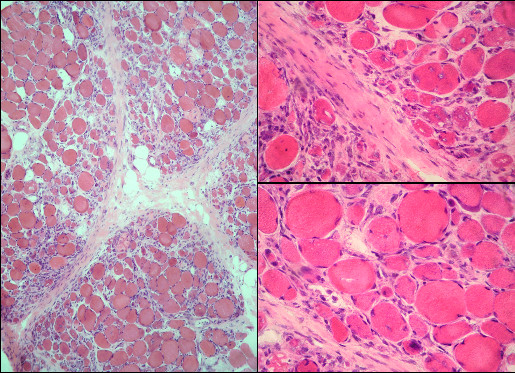
A.- En base a los hallazgos histológicos, que tipo de patrón de daño muestra?
1. Patron miopático
2. Cambios inespecíficos
3. Inflamatorio
4. Patrón neuropático
B.- Cual es el diagnóstico probable?
1. Distrofia de Duchene
2. Miopatía nemalinica
3. Distrofia fascioescapular-humeral
4. Miopatía inflamatoria
C.- Característica clínica frecuentemente asociada a esta entidad.
1.- Daño muscular frecuentemente asociado a enfermedades sistémicas colágeno-vasculares o con neoplasias
2.-.- Enfermedad ligada al X, afectando usualmente a varones y ascendente y progresiva
3.- .- Miopatía caracterizada por alteraciones de DNA mitocondrial, con afectación de otros órganos y la identificación de fibras rasgadas
4.- .- Daño muscular de origen metabólico, muy frecuentemente con alteración cardiaca.
D.- Que estudio complementarios te ayudarían apoyar el diagnóstico?
1.- Histoquímica con tinción de Gomori.
2.- Microscopía electrónica identificando material atesorado.
3.- Inmunohistoquímica para distrofina y sarcoglicanos
4.- Inmunohistoquímica para CD8
Respuesta:
A.- En base a los hallazgos histológicos, que tipo de patrón de daño muestra?
Inflamatorio
B.- Cual es el diagnóstico probable?
Miopatía inflamatoria
C.- Característica clínica frecuentemente asociada a esta entidad.
Daño muscular frecuentemente asociado a enfermedades sistémicas colágeno-vasculares o con neoplasias
D.- Que estudio complementarios te ayudarían apoyar el diagnóstico?
Inmunohistoquímica para CD8