Historia clínica:
Mujer de 28 años, antecedente de consanguineidad en sus padres y hermana menor con sintomatologìa semejante a la suya. En la infancia presentó neumonía comunitaria recurrente y probable tuberculosis pulmonar, a los 6 años se documentó <5% Defecto en la subunidad p47phox de la NDPH-oxidasa, con antibioticoterapia profiláctica.
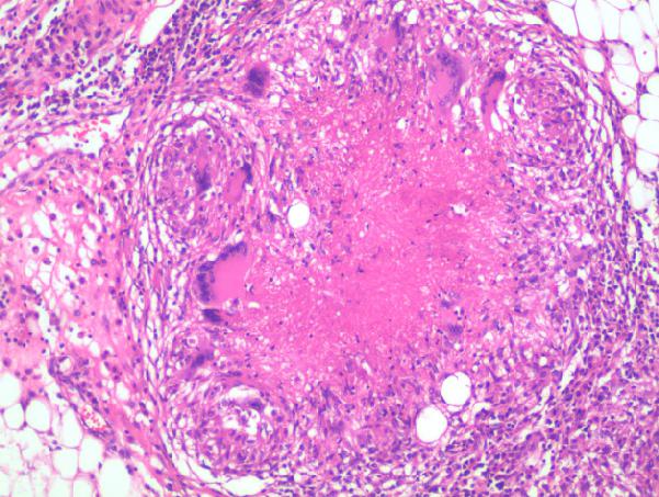
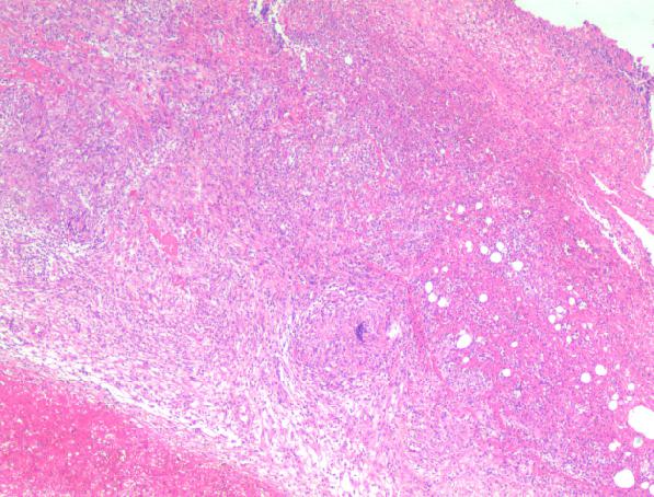
Presentó malestar general, tos, hipertermia no cuantificada, escalofríos, dolor abdominal tipo cólico intensidad 7/10, e hiporexia. Persistió con dolor abdominal y se agregó ascitis, alteración del peritoneo, hepatomegalia y realce nodular hepático heterogéneo y pérdida de peso. En LAPE se encontró peritoneo engrosado con micronodulaciones, además de ovario izquierdo aumentado de tamaño.
Foto 1 peritoneo:

Foto 2 ovario:

Respuesta:
Enfermedad cronica granulomatosa
Recent advances in chronic granulomatous disease. Genes and Diseases 2020; 7: 84-92 (http://creativecommons.org/licenses/by-nc-nd/4.0/).