Historia clínica:
Mujer de 50 años
Antecedente familiar de poliposis adenomatosa
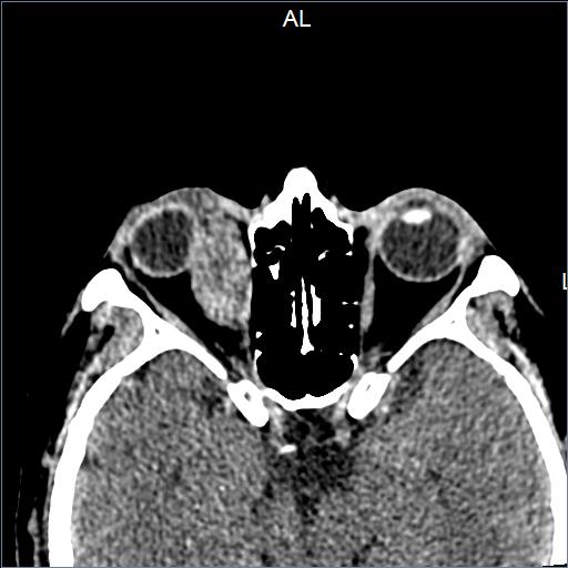
Padecimiento actual de 2 años de evolución caracterizado por sensación de cuerpo extraño, epífora y proptosis en ojo derecho.
A la exploración física con limitación a levoducción e infraducción en ojo derecho
Se realizaron estudios de imagen que detectaron tumor en órbita.










Diagnóstico:
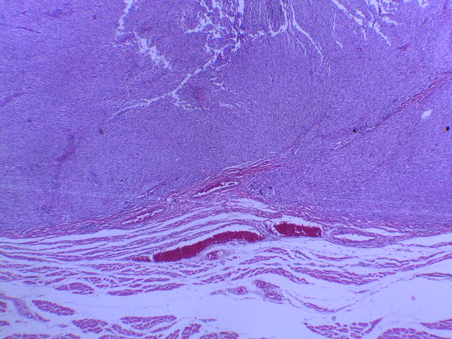
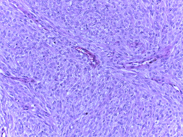
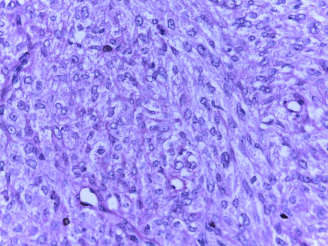
Tumor del estroma gastrointestinal en orbita y agregar la referencia : Orbit. 2012 Apr;31(2):129-31.
doi: 10.3109/01676830.2011.638100.