correo@ampatologia.org
(55) 52 12 19 63
Entrar
Inicio
Membresía CAMP
Conozca CAMP
Historia CAMP
Quienes Somos
Carta de la Presidenta
Normatividad
Boletín
Acceso Patología Revista Latinoamericana
COMMAP
Comité Científico
Calidad
Manuales
Asamblea Ordinaria:
Actas
Asamblea Extraordinaria:
Actas
History of Pathology Society
Calendario
Marco Legal
Actividades académicas
Eventos en línea
Casos del mes
Archivos de Sesiones:
2014
2015
2016
2017
2018
2019
2020
2021
2022
2023
2024
2025
Ofertas de Trabajo
Obituario
Proveedores
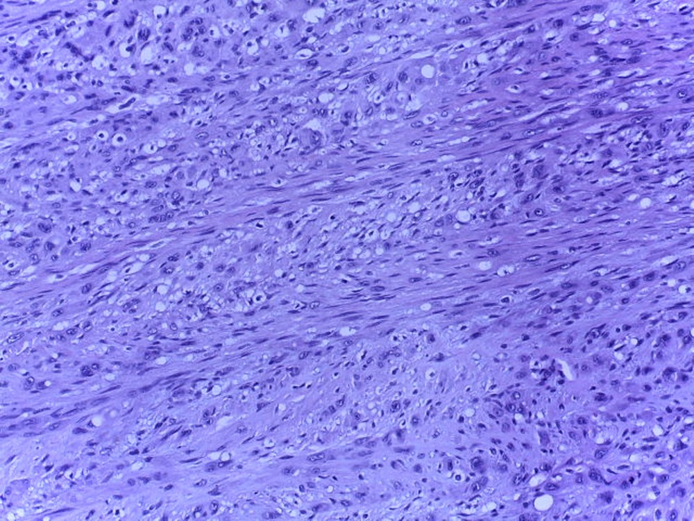
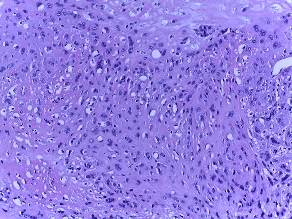
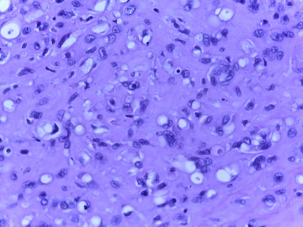
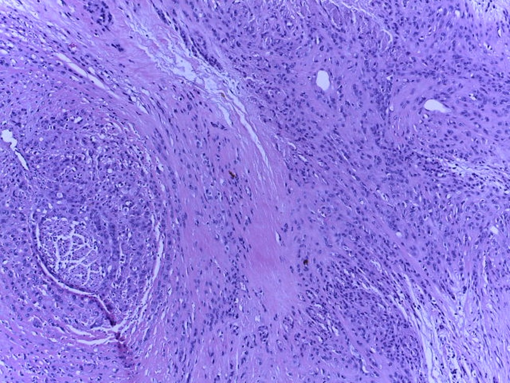
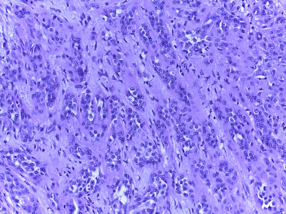
Caso del mes de Febrero de 2021
Mujer de 39 años con tumor en tobillo.
HISTORIA CLÍNICA:
Mujer de 39 años con tumor en tobillo.
Respuesta:
Hemangioendotelioma epitelioide.