(55) 52 12 19 63

Caso del mes de Abril de 2021

Mujer de 52 años, antecedente de carcinoma papilar de tiroides.

Mujer de 52 años
Antecedente de carcinoma papilar de tiroides 
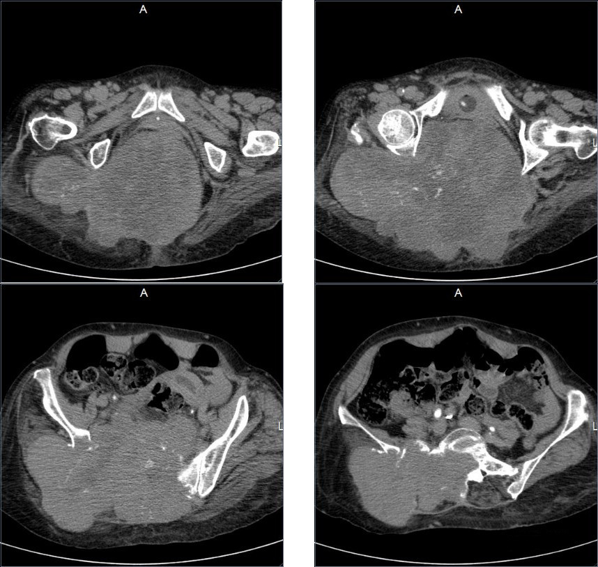
Padecimiento actual caracterizado por presencia de tumor en glúteo con destrución de iliaco y sacro

 

 

Respuesta:

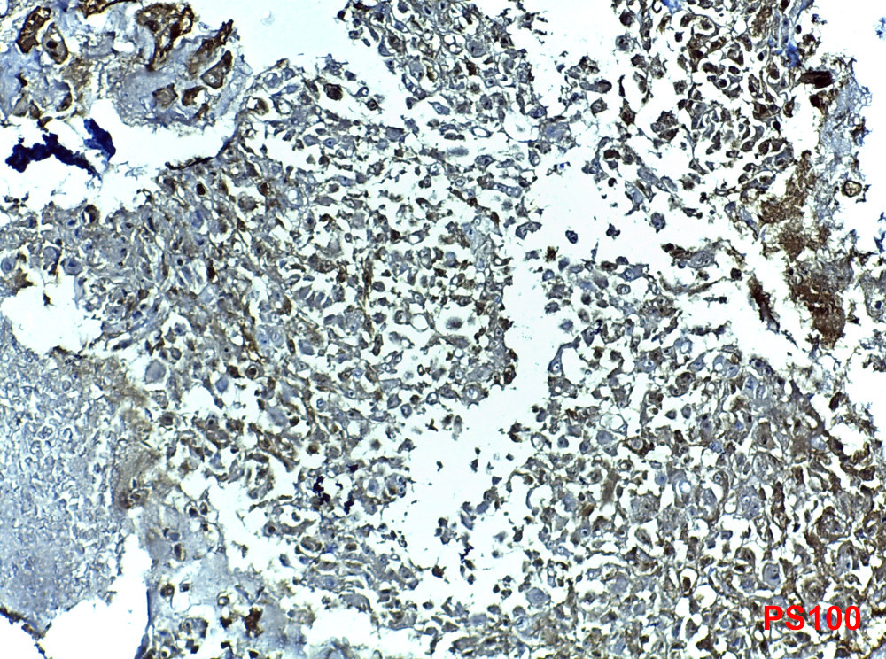
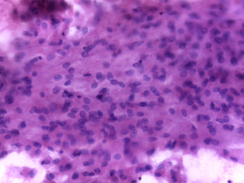
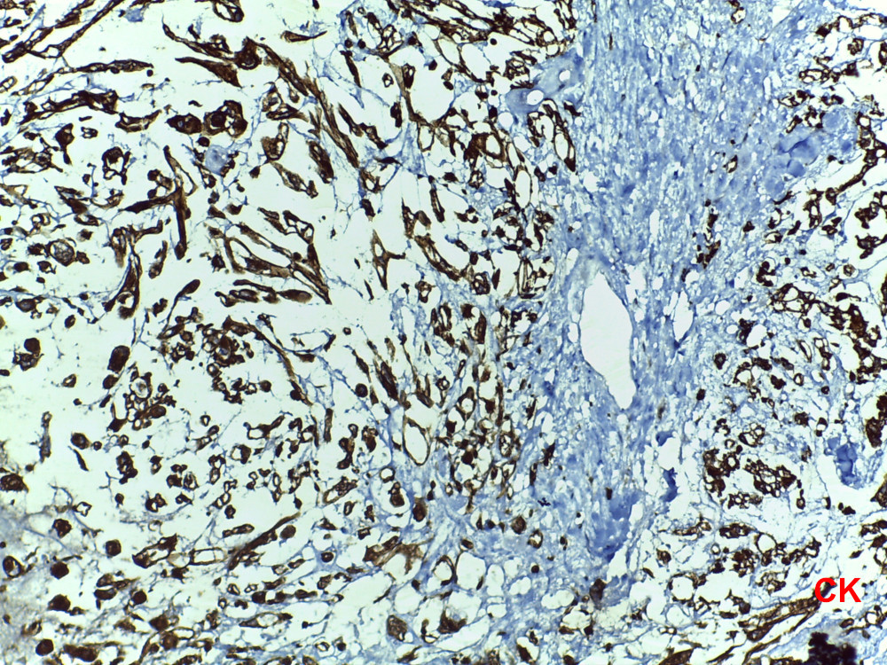
Diagnóstico:

Cordoma