(55) 52 12 19 63

Caso del mes de Mayo de 2021

Mujer de 49 años. Dolor en pierna  de 2 años de evolución.

Mujer de 49 años
Dolor en pierna  de 2 años de evolución
Incremento de dolor 
Fractura de fémur

 

Respuesta:

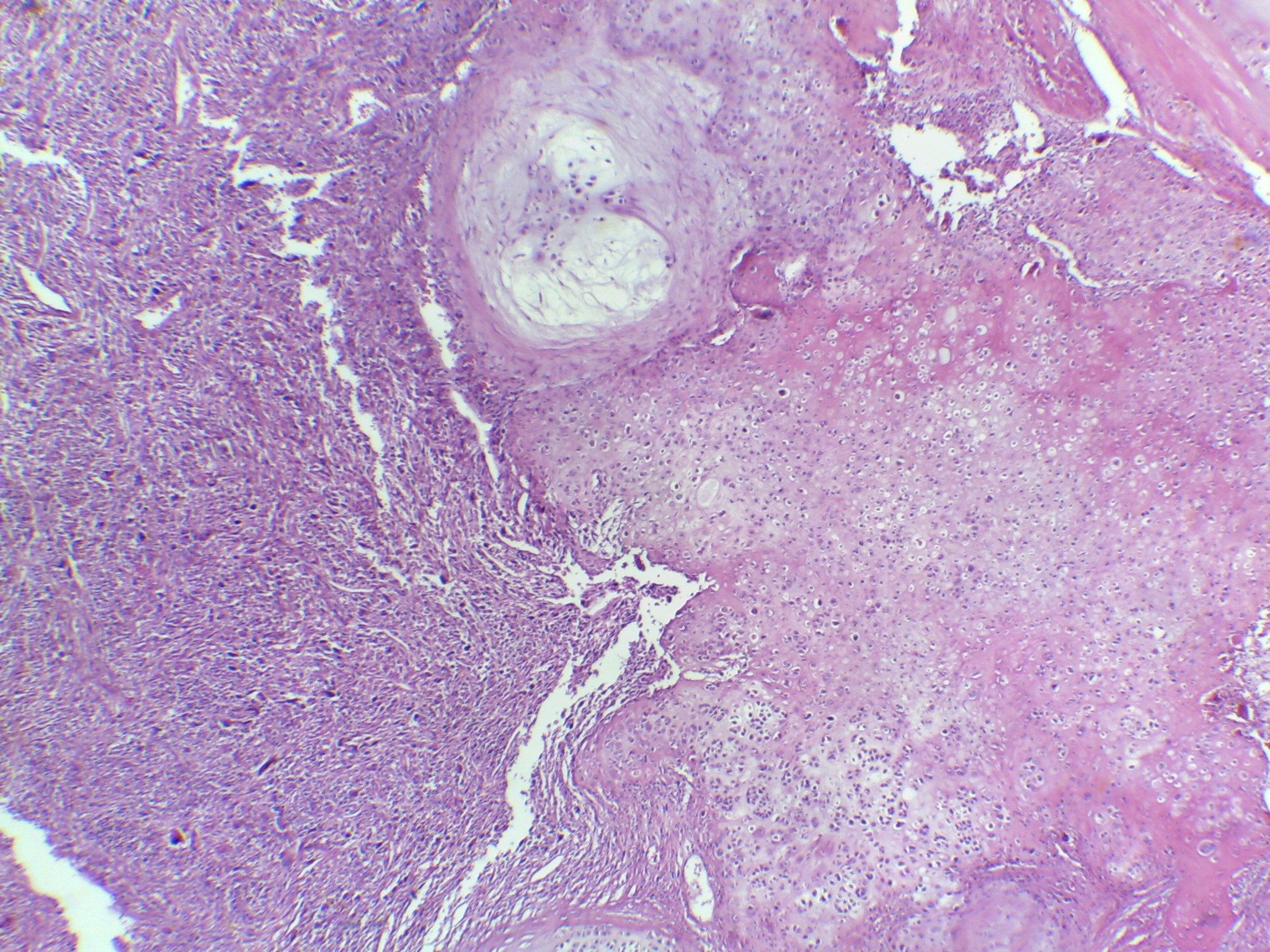
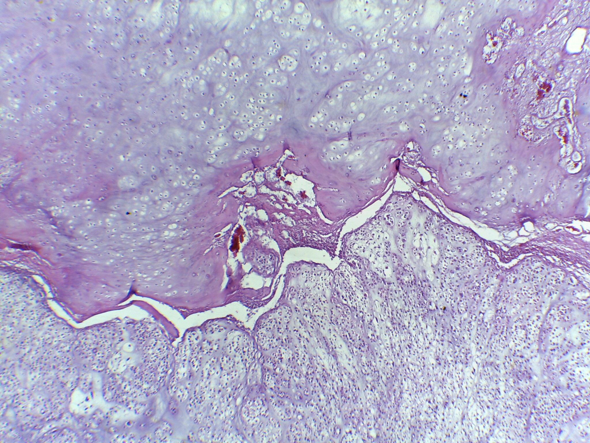
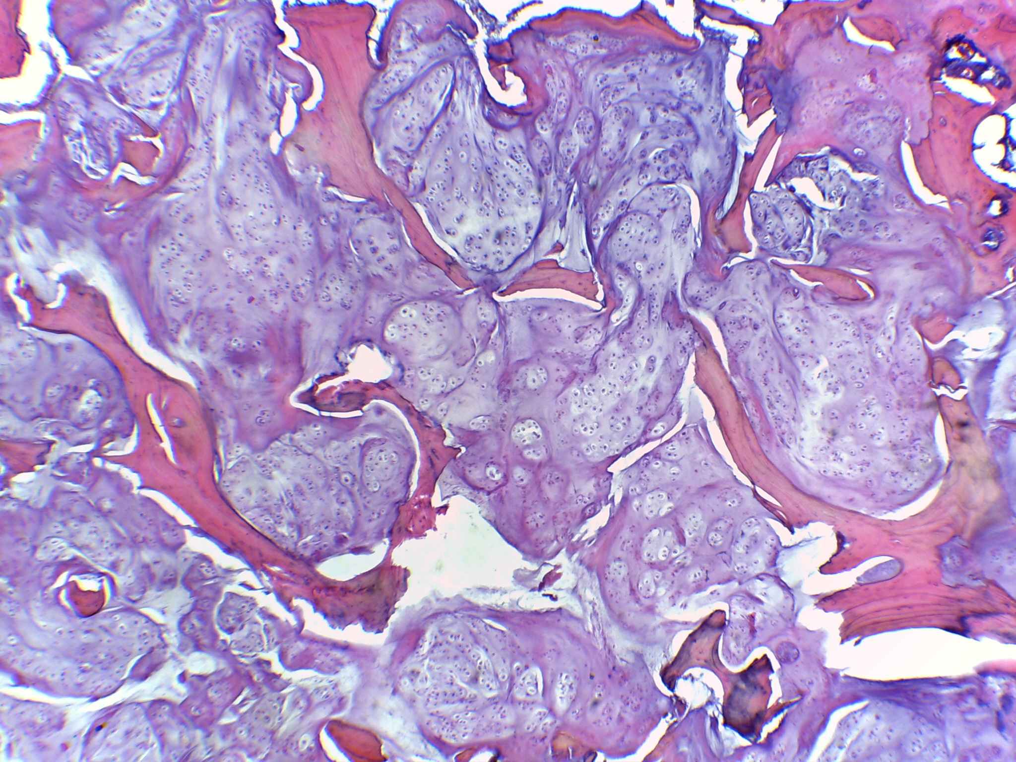
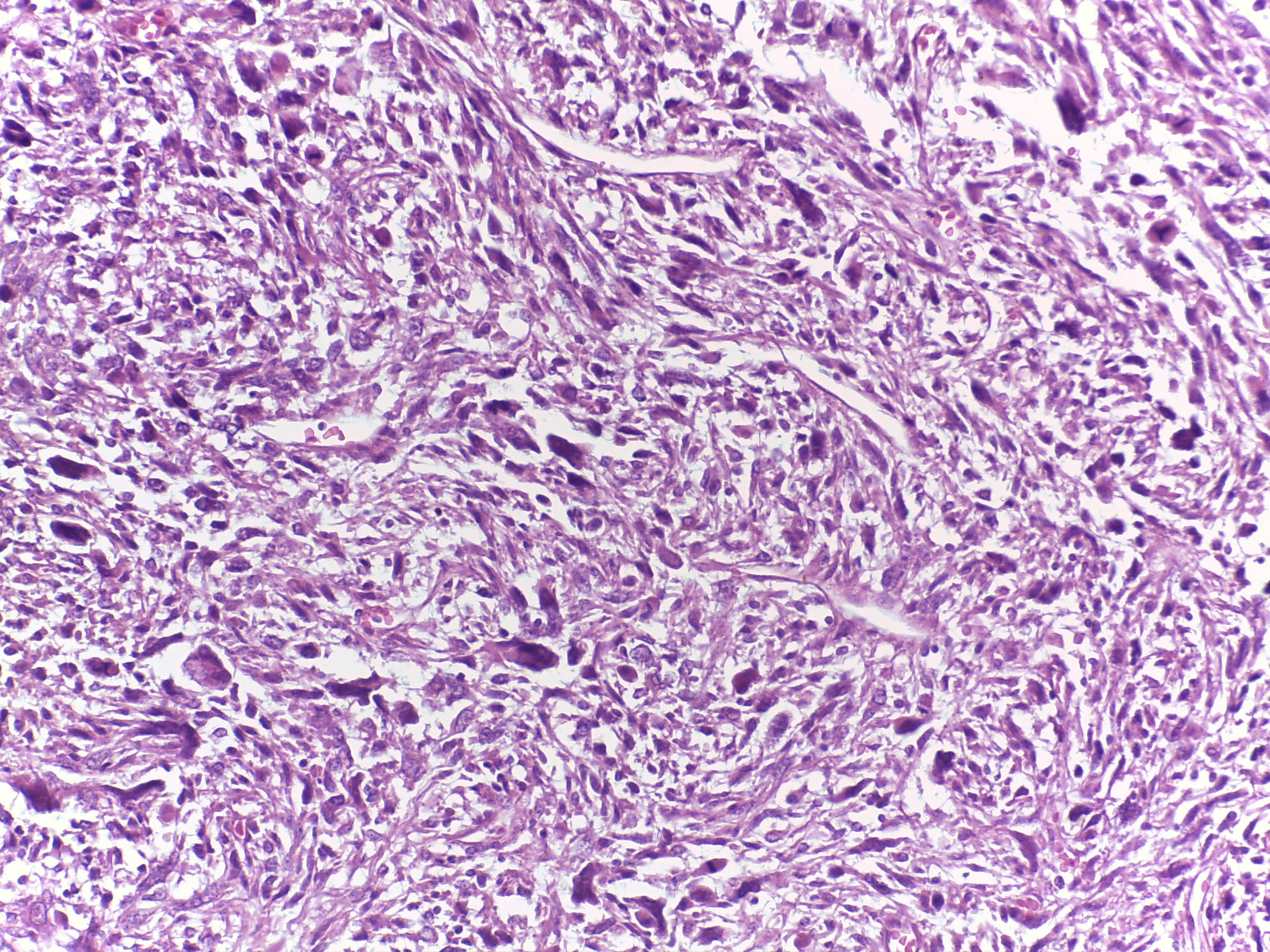
Condrosarcoma desdiferenciado