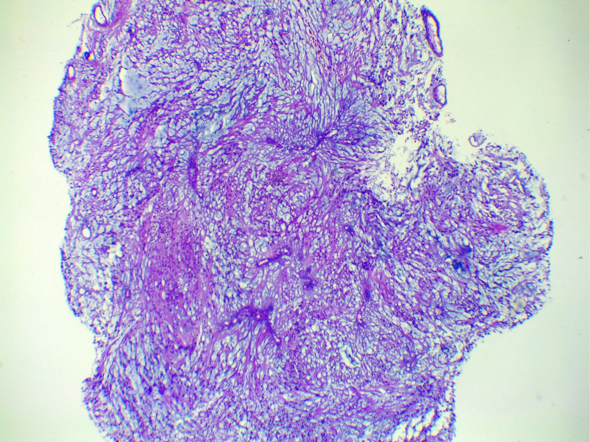
Mujer de 35 años, con parestesias en extremidades inferiores de predominio derecho y dolor a la flexión. Se realizaron estudios de imagen, donde se aprecia una lesión referida de cono medular (se anexan estudios de imagen). Se realizó resección tumoral.
1.- ¿Cuál es su diagnóstico?
2.- ¿Que grado histológico de la OMS representa esta lesión?
3.- ¿Cuáles son los diagnósticos diferenciales de esta entidad?
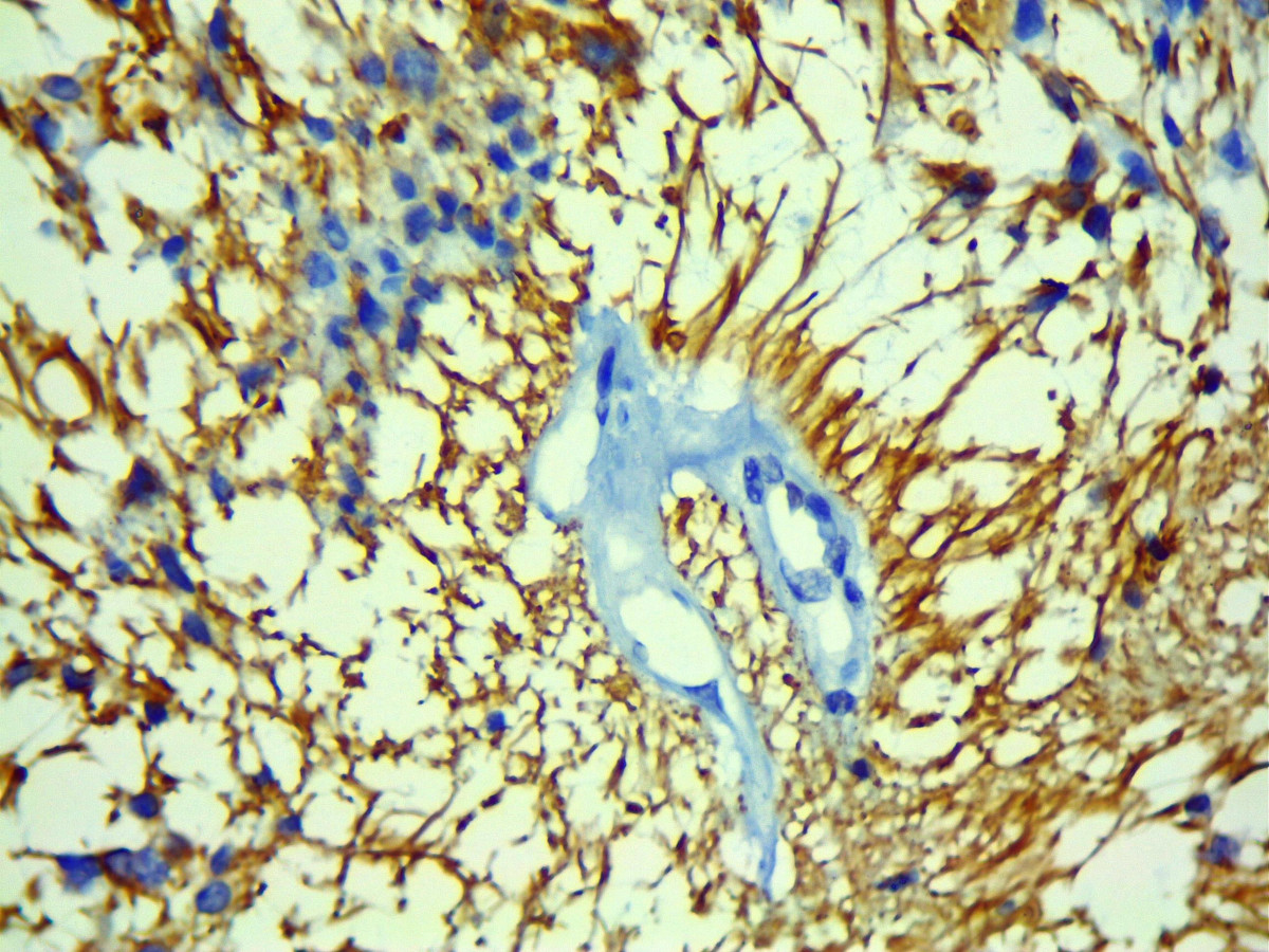
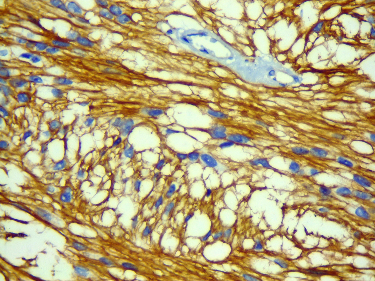
4.- En caso de realizar tinciones especiales, ¿cuáles solicitaría y con que fin?
5.- ¿En quienes es más frecuente la recurrencia?





