HISTORIA CLÍNICA:
- Hombre de 50 años.
- Tumor subcutáneo inguinal derecho.
- De dos años de evolución, móvil.
- Sospecha clínica de lipoma.
- Se realiza resección de la lesión.
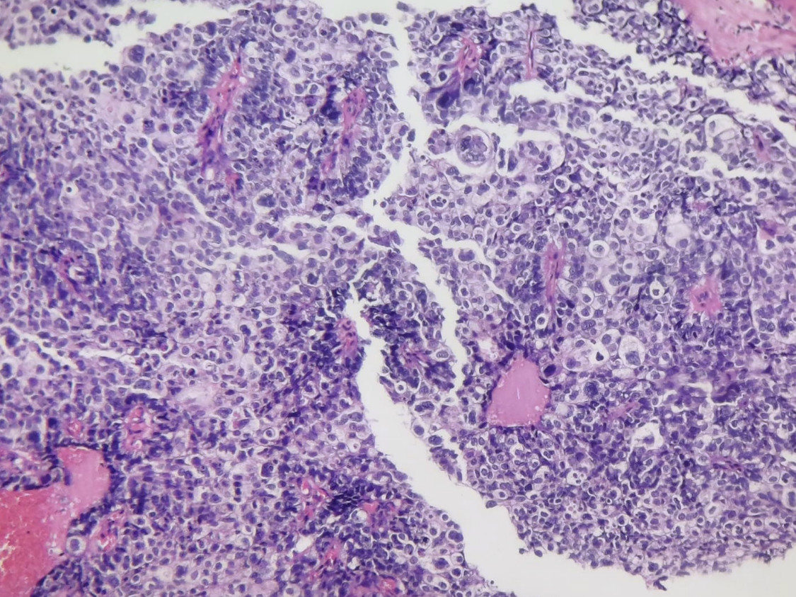
ASPECTO MACROSCOPICO:
- Lesión quística, uniloculada, bien delimitada, de contenido amarillo pastoso con aspecto necrótico.
- Lesión dérmica sin relación con la epidermis.



PREGUNTAS:
1.-¿Cuál seria su primera consideración diagnóstica?
- Tumor anexial con diferenciación sebácea.
- Tumor anexial con diferenciación folicular.
- Tumor anexial con diferenciación ecrina.
- Tumor anexial con diferenciación basaloide.
2.-¿Cuál es el diagnóstico de la lesión?
- Carcinoma sebáceo con degeneración quística.
- Quiste epidérmico de inclusión con carcinoma escamoso in situ.
- Hidradenocarcinoma / hidradenoma atípico.
- Carcinoma escamoso poco diferenciado con degeneración quística.
- Quiste triquilemal proliferante maligno.
3.-¿Cuál es la translocación comúnmente asociada a esta lesión?
- t (11:19)
- t (11:18)
- t (11:21)
- t (14:18)
1.-¿Cuál seria su primera consideración diagnóstica?
- Tumor anexial con diferenciación ecrina.
2.-¿Cuál es el diagnóstico de la lesión?
- Hidradenocarcinoma / hidradenoma atípico.
3.-¿Cuál es la translocación comúnmente asociada a esta lesión?
- t (11:19)