Dr. Mario Murguía Pérez
UMAE Hospital de Especialidades N° 1 CMN Bajío
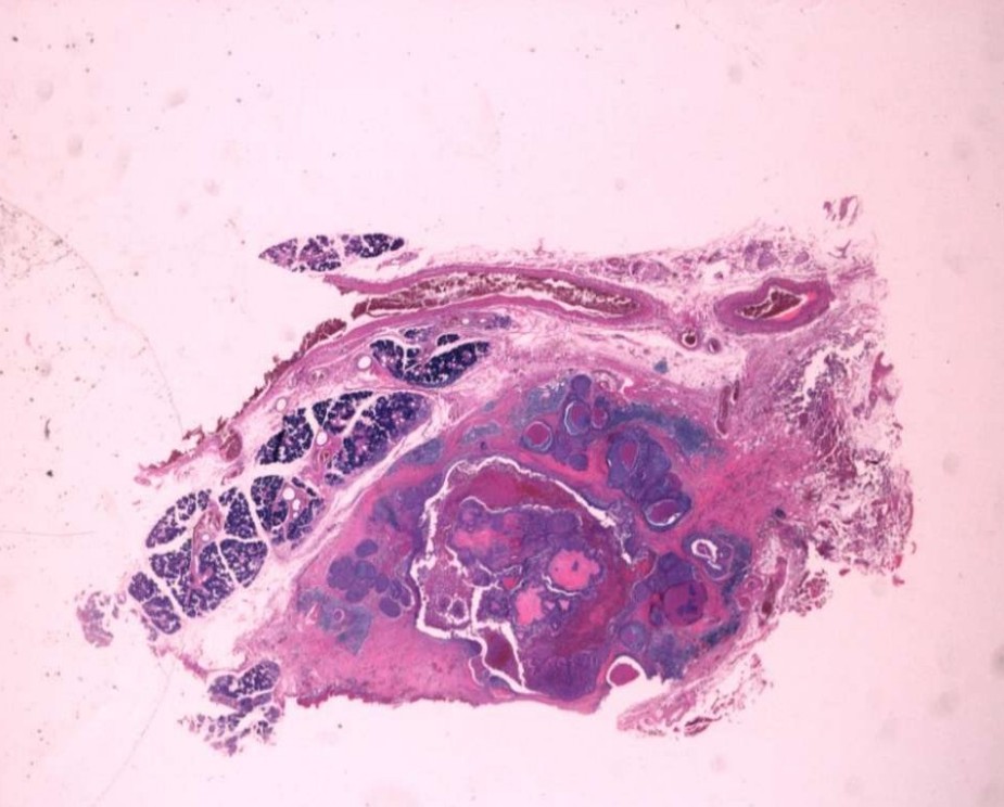
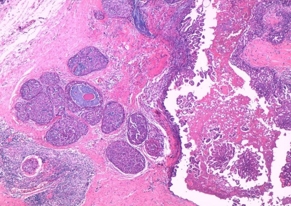
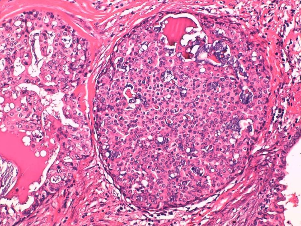
Mujer de 76 años con tumor indoloro en glándula parótida, de crecimiento lento. Se realizó resección quirúrgica de la lesión.

Pieza quirúrgica glándula parótida








Preguntas:
1.- De acuerdo con las fotomicrografías, ¿Cuál es su diagnóstico?
a) Carcinoma mucoepidermoide.
b) Adenocarcinoma, NOS.
c) Carcinoma poco diferenciado.
d) Carcinoma intraductal.
e) Carcinoma secretor.
2.- De acuerdo con su diagnóstico ¿Cuál de las siguientes aseveraciones es correcta?
a) La mayoría de los casos se originan en glándulas salivales menores.
b) Era conocido como cistadenocarcinoma cribiforme de bajo grado.
c) Estos tumores normalmente son de crecimiento rápido.
d) Se ha relacionado un componente hormonal asociado al crecimiento tumoral.
e) Debido a la invasión perineural frecuente, son tumores muy dolorosos.
3.- Señale la aseveración correcta:
a) El grado histológico corresponde a un bajo grado.
b) Es necesario realizar receptores de estrógenos, progesterona y Her2/neu.
c) Los principales diagnósticos diferenciales son carcinoma adenoideo quístico y adenocarcinoma de células basales.
d) Es característica la translocación t(12;15) (p13;q25).
e) Se sugiere realizar biomarcadores para terapia blanco molecular.