Dra. Adriana Atencio Chan
Medico adscrito al Servicio de Patologia
Hospital de Ortopedia, "Dr. Victorio de la Fuente Narvaez"
IMSS, Ciudad de México, México
Historia clínica
Masculino de 17 años
Padecimiento actual:
Febrero 2019
Dolor en rodilla izquierda secundaria a traumatismo no especificado
Valoración en medio privado quien solicitó RM
Se realiza toma de biopsia en julio 2020
Con resultado positivo a malignidad
Se solicita revisión de laminillas
Posterior a revisión de laminillas se realiza nueva biopsia, para normar tratamiento quirúrgico






Preguntas:
1. ¿Cuál es su posibilidad diagnóstica con los estudios de imagen?
A. Neoplásico benigno
B. Neoplásico maligno
C. Neoplásico benigno agresivo
2. ¿Cuál es su posibilidad diagnóstica con los hallazgos histológicos?
A. Osteosarcoma convencional
B. Osteoblastoma epitelioide
C. Displasia Fibrosa
3. ¿Cuál es el Principal diagnóstico diferencial?
A. Osteosarcoma
B. Condroblastoma
C. Displasia Osteofibrosa
4. ¿Considera que es una entidad frecuente?
A. En el 20% de los tumores óseos
B. El 1% de los tumores primarios de hueso
C. Se observa en 35% de los tumores malignos de hueso
CASO MES DE AGOSTO 2022
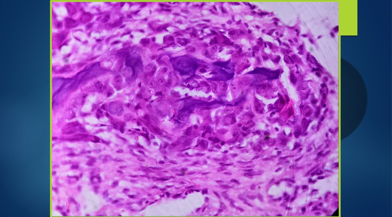
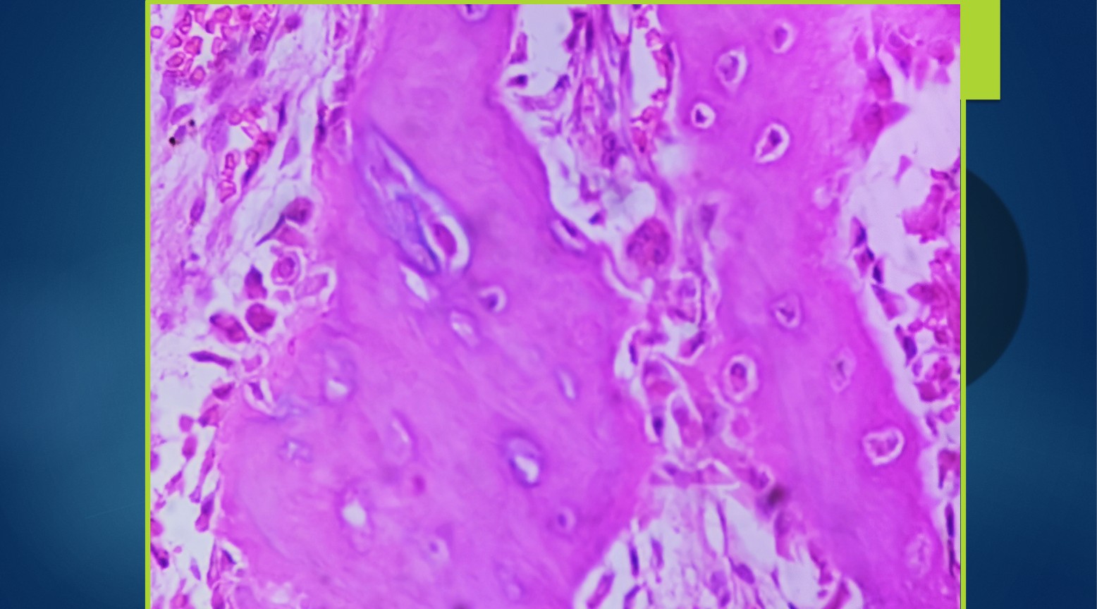
El diagnóstico del presente caso corresponde a: Osteoblastoma epitelioide
El Osteoblastoma es una neoplasia benigna localmente agresiva formadora de hueso trabecular revestido por osteoblastos que mide más de 2 centímetros. (1) Se describió primero por Jaffe y Lichtenstein en 1956 en dos publicaciones diferentes. Representa menos del 1% de los tumores primarios de hueso. Se origina en la medula de huesos largos y afecta el arco neural posterior con extensión al cuerpo vertebral. Es Frecuente en adolescentes y adultos jóvenes entre la segunda y cuarta década de la vida, el 75% de los pacientes tienen menos de 25 años al momento del diagnóstico, con predominio en el sexo masculino (2:1). (1,2). Clínicamente hay dolor, edema, disminución en los rangos de movimiento y cuando ocasionan efecto de masa se asocia a paresia, parestesias y paraplejia. Radiológicamente se caracteriza por ser una lesión blástica, expansiva, bien delimitada con halo radiolucente periférico, mineralización central. Histológicamente se identifican trabéculas óseas de forma irregular que se pueden interconectar con reborde de osteoblastos muchos de ellos con características epitelioides, escasos osteoclastos, estroma vascular y escasas mitósis no atípicas. (5). Por inmunohistoquímica son positivos a FOS en 60-83%de los casos. El principal diagnóstico diferencial es con el Osteosarcoma, el osteoma osteoide y el quiste óseo aneurismático, El tratamiento de elección es resección en bloque o resección intracompartamental. El osteoblastoma es de excelente pronóstico, el 20% presenta recurrencia local y es muy rara la transformación maligna. (1).
Bibliografía
Nielsen P., Rosenberg A., Section 3: Benign bone forming tumors: osteoblastoma. In: Diagnostic Pathology Bone tumors and nonneoplastic conditions. Philadelphia: Elsevier, 2021. 40:47.
WHO, Bone tumors: osteogenic tumors. In: Soft tissue and bone tumors, WHO Classificaition of Tumors, 5th edition. Lyon: International Agency for research on Cancer, 2020.397:399
Panagopoulos I, Gorunova L, Lobmaier I, Andersen K, Kostolomov I, Lund-Iversen M, Bjerkehagen B, Heim S. FOS-ANKH and FOS-RUNX2 Fusion Genes in Osteoblastoma. Cancer Genomics Proteomics. 2020 Mar-Apr;17(2):161-168. doi: 10.21873/cgp.20176. PMID: 32108038; PMCID: PMC7078835.
Fittall MW, Mifsud W, Pillay N, Ye H, Strobl AC, Verfaillie A, Demeulemeester J, Zhang L, Berisha F, Tarabichi M, Young MD, Miranda E, Tarpey PS, Tirabosco R, Amary F, Grigoriadis AE, Stratton MR, Van Loo P,.
Antonescu CR, Campbell PJ, Flanagan AM, Behjati S. Recurrent rearrangements of FOS and FOSB define osteoblastoma. Nat Commun. 2018 Jun 1;9(1):2150. doi: 10.1038/s41467-018-04530-z. PMID: 29858576; PMCID: PMC5984627