Dra. Valeria Ocampo Roosens
Medica Adscrita a patología
Hospital del Niño Morelense
Escolar de 9 años con dermatosis generalizada, respetando parte central de cara, palmas, extremidades inferiores en piernas, dorso y planta de pies.
Presenta exantema eritematoso maculo papular, costras grandes, blancas abundantes, que se agrupan.
Afectan piel cabelluda, cara, regiones axilares, tronco en caras laterales, pliegues inguinales, muslos en tercio proximal, huecos poplíteos.
Se asocia a prurito y dolor.
Cara con aumento de volumen.
Inicia con prurito en axilas e ingles, al igual que mamá y pareja de mamá que conviven en la misma casa.
Multitratada con atibioticos y antifungicos desde 2017 hasta 2021.
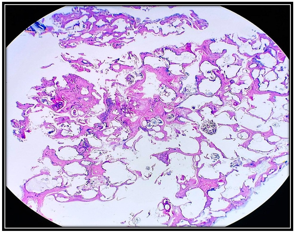
Se toman escamas de piel.





Preguntas:
1. En relación a la historia y cuadro clínico cuales sería su diagnóstico.
A. Dermatitis atópica
B. Dermatitis pruriginosa
C. Pitiriasis versicolor
D. Dermatitis por ectoparásitos
2. Cual sería su principal diagnóstico diferencial
A. Dermatitis atópica
B. Dermatitis pruriginosa
C. Dermatitis por contacto
D. Dermatitis por ectoparásitos
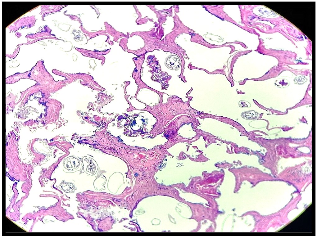
3. Cual es su diagnóstico histopatológico
A. Dermatitis exfoliativa
B. Sarna costrosa
C. Dermatitis herpetiforme
D. Picaduras de insectos (prurigo por chinches o pulgas)
4. Cual es el nombre del agente patógeno
A. Sarcoptes scabiei hominis.
B. Herpes Virus
C. Malassezia
D. Pediculus humanus
También conocida como Sarna Noruega, es una acarosis altamente contagiosa. Se presenta como un cuadro de queratoderma polimórfico, con lesiones maculopapulovesiculares, eccematosas o pustulares, de distribución acral y con queratosis subungueal.
La sarna se trasmite con el contacto directo (piel a piel) con alguien que tiene sarna.
También se puede obtener la sarna si se tiene contacto con cosas contaminadas como ropa de vestir o ropa de cama de las personas infectadas.
La sarna costrosa, también llamada sarna noruega, tiende a darle a la piel una apariencia seca y escamosa, y a afectar zonas extensas del cuerpo.
Es muy contagiosa y puede ser difícil de tratar. Normalmente, una persona con sarna tiene alrededor de 10 a 15 ácaros.
En 1687 Bonono descubrió el ácaro de la sarna, convirtiéndose entonces en la primera enfermedad en humanos con causa conocida.
En 1844 Danielssen y Boeck describen por primera vez la SN en enfermos leprosos en Noruega, a lo cual debe su nombre; pero es F. Hebra quien acuña el nombre de Sarna Noruega en 1852.
La sarna noruega es una zooparasitosis poco frecuente y altamente contagiosa, consecuencia de la infestación por Sarcoptes Scabiei, variedad hominis o arador de la sarna; que fue descrita por primera vez en Noruega por Danielsenn y Boeck, en pacientes con lepra lepromatosa, en 1848.