Dra. Claudia Peña Zepeda
Hospital Central “ Dr Ignacio Morones Prieto “
San Luis Potosi
Servicio de Anatomia Patológica
Información Clínica
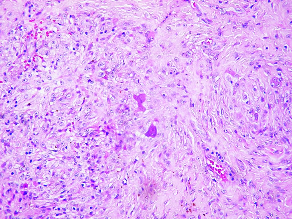
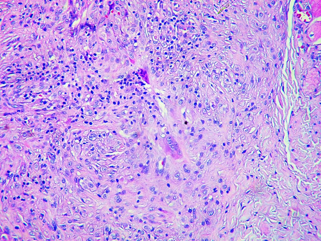
Masculino de 5 años de edad con tumor en región hipotenar de mano derecha de1 año de evolución.
Se reseca un tumor de 1 x 1 x 5 cm de eje mayor, blanquecino, irregularmente delimitado.





Preguntas:
1. ¿Cuál es su posibilidad diagnóstica?
A. Neurofibroma plexiforme
B. Hamartoma fibroso de la infancia
C. Neurotecoma celular
D. Tumor fibrohistiocitico plexiforme
2. ¿Qué batería de inmunohistoquímica realizaría para complementar el diagnóstico?
A. CD68, Actina de músculo liso y Vimentina
B. Desmina, Actina de musculo liso y Vimentina
C. Proteína S-100, PAGF y SOX 10
D. CD68, Vimentina y Proteína S-100
3. ¿En que sitios anatómicos se presenta este tipo de lesiones?
A. Extremidades superiores
B. Mano y muñeca
C. Extremidades inferiores
D. Predominantemente en regiones de cabeza y cuello
4. ¿Cuál es el factor pronóstico más importante en este tipo de lesiones?
A. Se trata de un sarcoma de alto grado
B. Raramente metastatiza
C. La resección completa del tumor
D. La presencia de ganglios metastásicos
1. ¿Cuál es su posibilidad diagnóstica?
Tumor fibrohistiocitico plexiforme
2. ¿Qué batería de inmunohistoquímica realizaría para complementar el diagnóstico?
CD68, Actina de músculo liso y Vimentina
3. ¿En que sitios anatómicos se presenta este tipo de lesiones?
Extremidades superiores
4. ¿Cuál es el factor pronóstico más importante en este tipo de lesiones?
Raramente metastatiza
La resección completa del tumor