RESUMEN CLINICO Y RADIOLOGICO

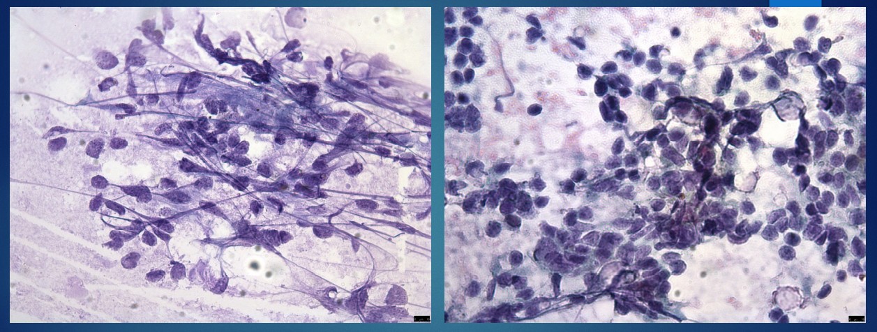
EXTENDIDOS CITOLÓGICOS

Se reciben 3 laminillas para evaluación de citología de suficiencia de aspiración de tumor pulmonar de hemitórax derecho por medio de USG
Biopsia con aguja de corte transtorácica:


PREGUNTAS:
1.- ¿Cual es tu diagnóstico citológico?
a) Neoplasia epitelial.
b) Neoplasia linfoide.
c) Neoplasia neuroendocrina.
d) Sarcoma.
2.- ¿Cual es tu diagnóstico histológico?
a) Carcinoma neuroendocrino.
b) Sarcoma de Ewing.
c) Linfoma.
d) Tumor desmoplásico de células redondas pequeñas.
3.- ?Que marcadores de inmunohistoquímica apoyan tu diagnóstico?
a) CD45, CD3,CD20.
b) CD56,synaptofisina, cromogranina,S100.
c) PLAP , alfa feto proteina.
d) Desmina,WT-1,CD99, CKA1/3.
4.- ¿Cual es tu recomendación para confirmar el diagnóstico?.
a) Ampliar panel de inmunohistoquímica.
b) Estudios de patología molecular.
c) Resección del tumor .
d) Es necesario efectuar inmunohistoquímica y patología molecular en estos tumores.