HISTORIA CLINICA
- Mujer de 54 años de edad, que a los 16 años presentó tumor en región submaxilar izquierda, se le realizó resección quirúrgica en cuatro ocasiones, con recurrencia de la lesión 28 años después.
- Exploración física: Con tumor palpable, no fijo a planos profundos y doloroso en hemicuello izquierdo.
- Tratamiento: Resección quirúrgica.





PREGUNTAS:
1. ¿Cuál es tu diagnóstico?
A. Adenorma pleomórfico atípico.
B. Carcinosarcoma.
C. Carcinoma ex adenoma pleomórfico.
2. Esta neoplasia se presenta predominantemente en:
A. Glándulas salivales menores en el 80% de los casos.
B. Glándulas salivales mayores comprometiendo principalmente a la parótida 68%
C. La glándula parótida se afecta excepcionalmente.
3. ¿Cuál es el porcentaje de transformación maligna de esta neoplasia?
A. En el 15% de los casos.
B. Sólo el 5% de los tumores mixtos.
C. Corresponde al 1% de los tumores mixtos.
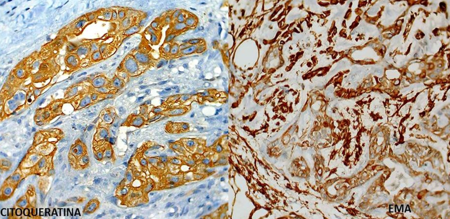
4. En este tipo de neoplasia la inmunohistoquímica depende del tipo de componente maligno:
A. Cierto
B. Falso
5. El diagnóstico diferencial de esta lesión incluye:
A. Carcinoma adenoideo quístico.
B. Carcinosarcoma y carcinoma metastásico.
C. Adenoma pleomórfico recurrente.
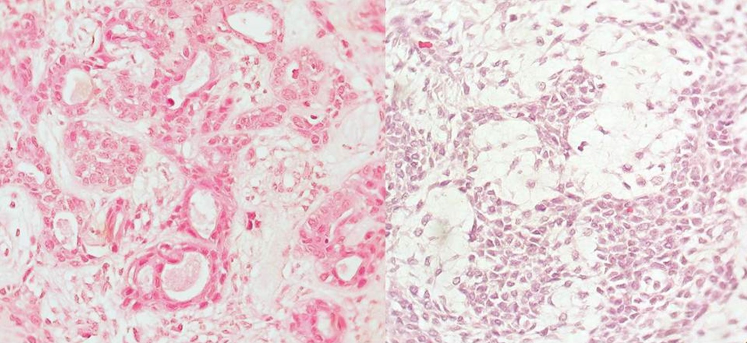
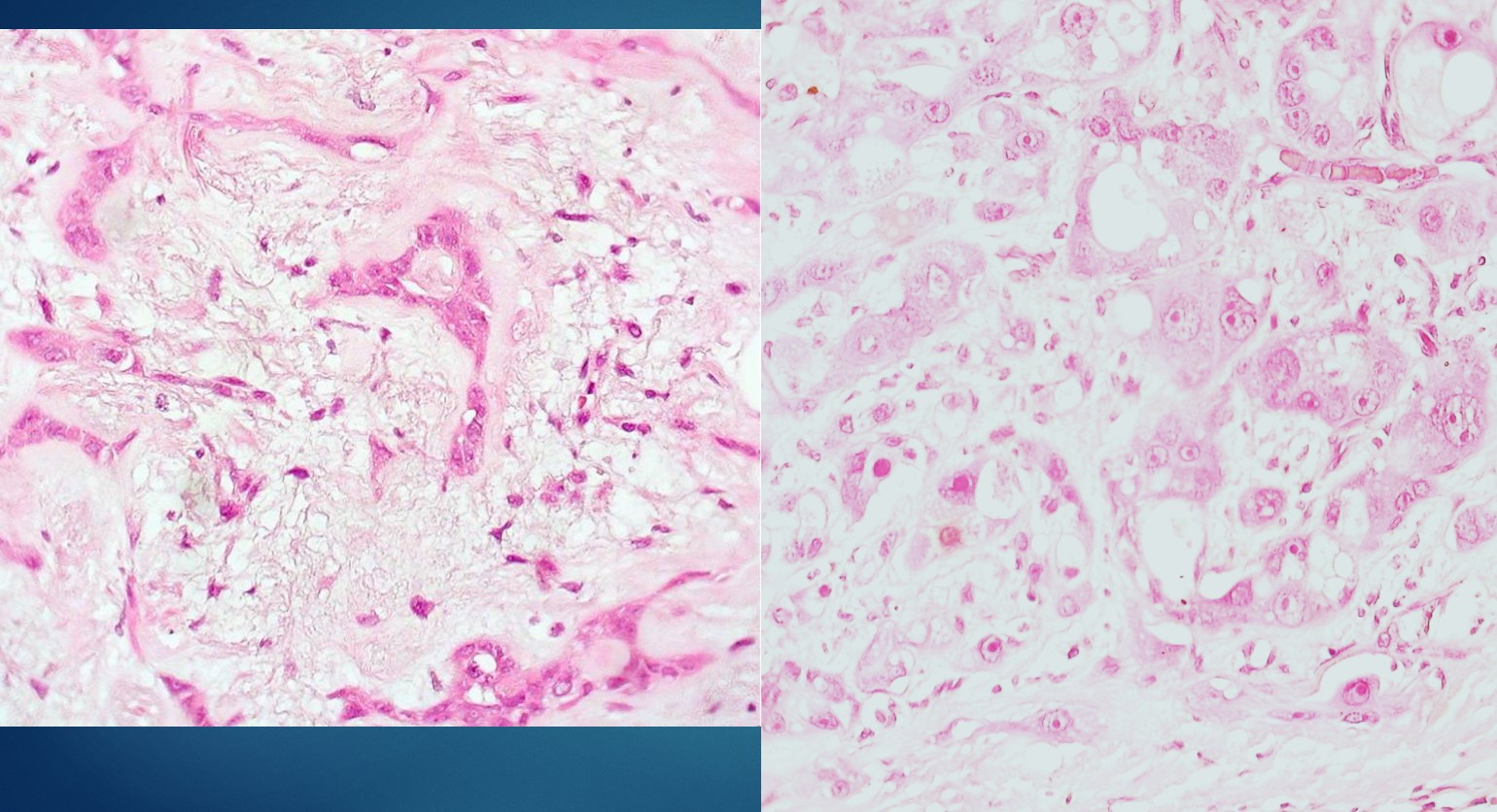
El presente caso correspondió a un Carcinoma ex Adenoma Pleomórfico (CaexPA). Esta lesión compromete el 3-4% de los tumores de glándula salival, el 12% de los tumores malignos de glándulas salivales. Es un carcinoma que muestra evidencia histológica de originarse en un adenoma pleomórfico (AP). La OMS los clasifica como tumores mixtos malignos y los divide dentro de 3 diferentes entidades clínico-patológicas: Carcinoma ex-adenoma pleomórfico (carcinoma originado en un AP pre-existente), Carcinosarcoma (tumor mixto maligno verdadero), Adenoma Pleomórfico metastatizante, de los cuales el CaexPA es el más frecuente. En este la mayoría de los elementos carcinomatosos son adenocarcinoma sin otra especificación, pero ocasionalmente presentan un tipo histológico especifico como: Carcinoma de conducto salival, carcinoma mucoepidermoide o carcinoma adenoideo quístico y el recientemente reportado carcinoma oncocitico.
El Adenoma Pleomórfico como todos sabemos es una neoplasia que se origina de las glándulas salivales mayores 82% (parótida 68%) glándulas menores 18% e infrecuentemente desarrollan transformación maligna, estos cambios se han visto asociados a recurrencia, edad avanzada, radioterapia, tamaño del tumor y larga evolución, este último se observa con una incidencia de 1.5 % en < 5 años y hasta 9.5 % en años. El CaexPA constituye su diagnóstico se hace con base a la identificación del tumor originado en un sitio con un adenoma pleomórfico previamente establecido. Son tumores mal delimitados, que afectan más frecuentemente la glándula parótida, como nódulos únicos, a diferencia de nuestro caso que fue multinodular. Generalmente puede presentar cualquier tipo histológico, o bien mostrar patrones mixtos, en nuestro caso se identificaron componentes de carcinoma adenoideo quístico, epidermoide y mucoepidermoide con cambios oncociticos focales. Este caso correspondió a una paciente con antecedentes característicos, lesión de larga evolución y recurrente, los cuales fueron factores de riesgo para presentar esta neoplasia, sin embargo, no fue posible esclarecer el diagnóstico previo de Adenoma pleomórfico. La resección quirúrgica es el tratamiento de elección con radioterapia neoadyuvante, lo cuál mejora el pronostico del paciente.
PREGUNTAS Y RESPUESTAS.
1. De acuerdo con la morfología cuál es tu diagnóstico.
A. Adenorma pleomórfico atípico
B. Carcinosarcoma
C. Carcinoma ex adenoma pleomórfico
2. Esta neoplasia se presenta predominantemente en?
A. Glándulas salivales menores en el 80% de los casos
B. Glándulas salivales mayores comprometiendo principalmente a la parótida 68%
C. La glándula parótida se afecta excepcionalmente
3. Este tipo de neoplasia se presenta como transformación maligna en que porcentaje
A. En el 15% de los casos
B. Sólo el 5% de los tumores mixtos
C. Corresponde al 1% de los tumores mixtos
4. En este tipo de neoplasia la inmunohistoquímica depende del tipo de componente malignos
A. Cierto
B. Falso
5. El diagnóstico diferencial de esta lesión incluye?
A. Carcinoma adenoideoquístico
B. Carcinosarcoma y carcinoma metastásico
C. Adenoma pleomórfico recurrente