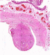
Mujer de 46 años con antecedente de múltiples lesiones en piel (foto 1 Y 2 ) desde la infancia. Inicia su padecimiento con pérdida de peso, distensión abdominal y vómito. La endoscopia mostró lesión ámpula de Váter y la TAC múltiples lesiones en duodeno (Foto 3). Se realizó Whipple. Foto 4.
Foto 1

Foto 2

Foto 3

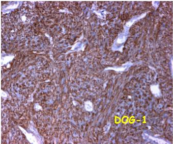
Foto 4

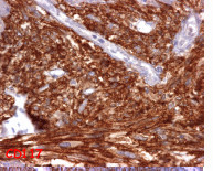
Foto 5

INMUNOHISTOQUÍMICA


1. ¿Qué síndrome tiene la paciente y a que tipo de neoplasias se asocia?
2. ¿Qué mutación o mutaciones esperaría encontrar?
3. ¿Qué tratamiento sugiere en esta paciente?
1. ¿Qué síndrome tiene la paciente y a que tipo de neoplasias se asocia?
Neurofibromatosis tipo 1
2 o más neurofibromas de cualquier tipo ó neurofibromas plexiformes
Lesiones óseas
Gliomas ópticos
Pecas de axilas o ingles
2 ó más nódulos de Lysch
Se puede asociar a múltiples Tumores del Estroma Gastrointestinal, neuroblastoma, rabdomiosarcoma, leucemia mielomonocítica juvenil, Tumor de vaina de nervio periférico maligno entre otros
2. ¿Qué mutación o mutaciones esperaría encontrar?
Mutaciones en la neurofibromina, mutación de c-KIT
3. ¿Qué tratamiento sugiere en esta paciente?
Blancos moleculares como imatinib o inhibidores de tirocin-cinasas