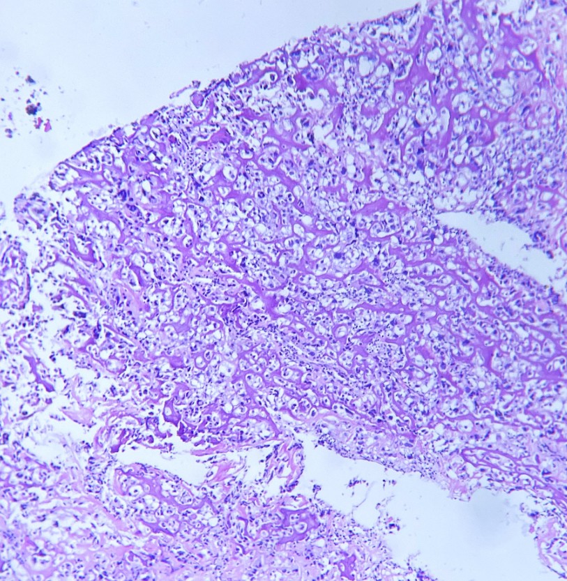
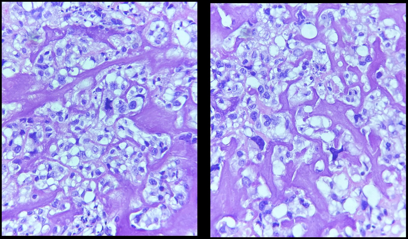
HISTORIA CLÍNICA:
Paciente de 12 años de edad, que acudió por aumento de volumen en miembro pélvico derecho de 2 meses de evolución acompañado de dolor severo que no cedió con analgésicos.
Estudios de laboratorio: Hemoglobina 10.6 g/dL, hematocrito 32.3 %, LDH 322,000 UI/L.



PREGUNTAS:
1.- ¿Cuál es el diagnóstico del caso?
a) Condroblastoma.
b) Quiste óseo aneurismático.
c) Fibroma no osificante.
d) Osteosarcoma.
2.-Con relación a la epidemiología de este tumor, ¿cuál es la aseveración correcta?
a) El 10% de los casos ocurren en la segunda década de la vida.
b) La incidencia máxima se produce entre las edades de 10 y 15 años.
c) Se informa un ligero predominio femenino.
d) En el 90% de los casos presenta metástasis al momento del diagnóstico.
3.- Con relación a su diagnóstico ¿cuál es el sitio más frecuente de enfermedad metastásica?
a) Hígado.
b) Cerebro.
c) Pulmón.
d) Ganglio linfático.
4.- ¿Cuál es el síndrome asociado con este tumor?
a) Neurofibromatosis tipo 1
b) Von Hippel-Lindau
c) Cowden
d) Li-Fraumeni
5.- ¿Cuál de las siguientes neoplasias se encuentra asociada al tumor?
a) Retinoblastoma.
b) Meduloblastoma.
c) Ependimoma.
d) Condroblastoma.