Caso del mes de Noviembre de 2024
Hombre de 38 años con Dx de pseudocoxalgia derecha
HISTORIA CLÍNICA:
- Hombre de 38 años con Dx de pseudocoxalgia derecha, ocupación soldador con los siguientes antecedentes personales patológicos:
- Alcoholismo ocasional, tabaquismo o drogas negados.
PADECIMIENTO ACTUAL:
- Inició hace años (no referidos) presentando dolor en cadera derecha posterior a entrenamiento de fútbol que se exacerbaba con el frío irradiado a muslo anterior y glúteo derecho.
- Actualmente con ardor en la extremidad y sensación de pequeñez.
- Durante palpación de la misma, presentó crepitación y dolor.
- Valorado por el servicio de traumatología de manera particular quien indica analgésicos y complejo B por probable desgarre del músculo vasto anterior y sartorio, sin mejoría, motivo por el que es ingresado.
- Se realizaron varios estudios de laboratorio e imagen







PREGUNTAS:
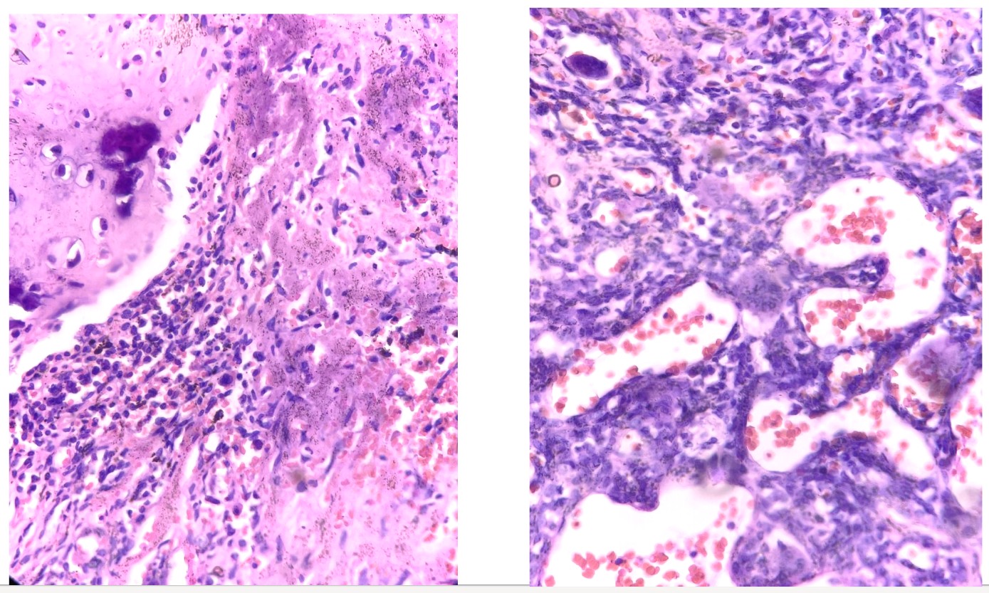
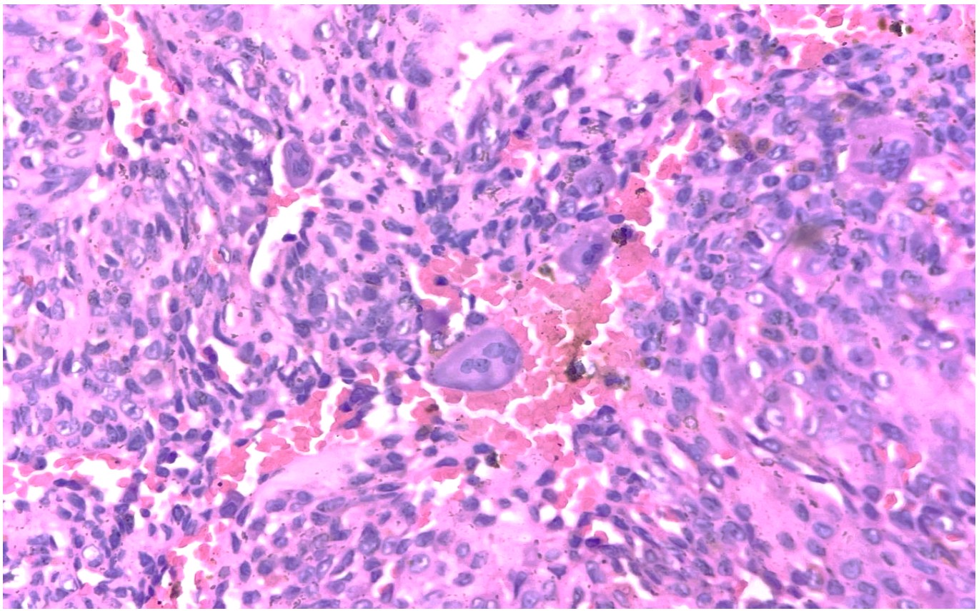
1.- ¿Cuál es su diagnóstico microscópico?
a) Quiste óseo aneurismático.
b) Tumor de células gigantes.
c) Osteosarcoma telagiectásico.
d) Osteosarcoma condroblástico.
2.- ¿Cuál es su epidemiología?
a) M=F Segunda década de la vida.
b) Metáfisis, epífisis y sacro proximal en la 3ª década de vida.
c) Adultos jóvenes M:F 2:1 representa 2% de los osteosarcomas.
d) Distribución bimodal, 2ª y >4ª década de la vida.
3.- ¿Cuál es el primer diferencial? según la morfología observada
a) Osteosarcoma telangiectásico.
b) Tumor de células gigantes maligno.
c) Quiste óseo aneurismático.
d) Condrosarcoma de alto grado.
4.- ¿Qué marcadores de inmunohistoquímica ayudan al diagnóstico?
a) No requiere panel específico.
b) P63, SALL4, CD68
c) SATB2, SMA, CD99, OSTEOCALCINA
d) MDM2, CDK4, SOX9
Respuesta: