Cortesía
Dra. Med. Gabriela Sofía Gómez Macías.
R2 Diana Laura Morales Wong.
Departamento de Anatomía Patológica y Citopatología
Hospital Universitario “Dr. José Eleuterio González”.
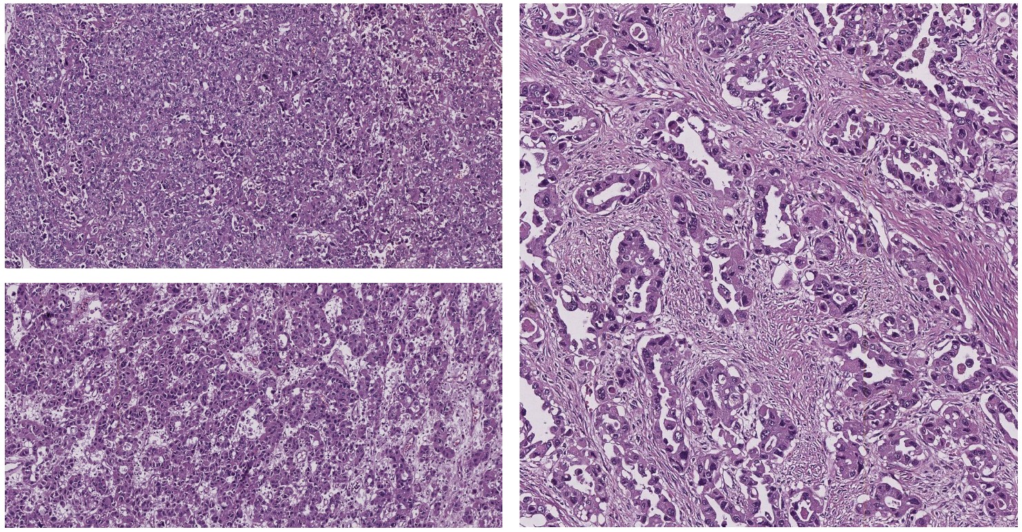
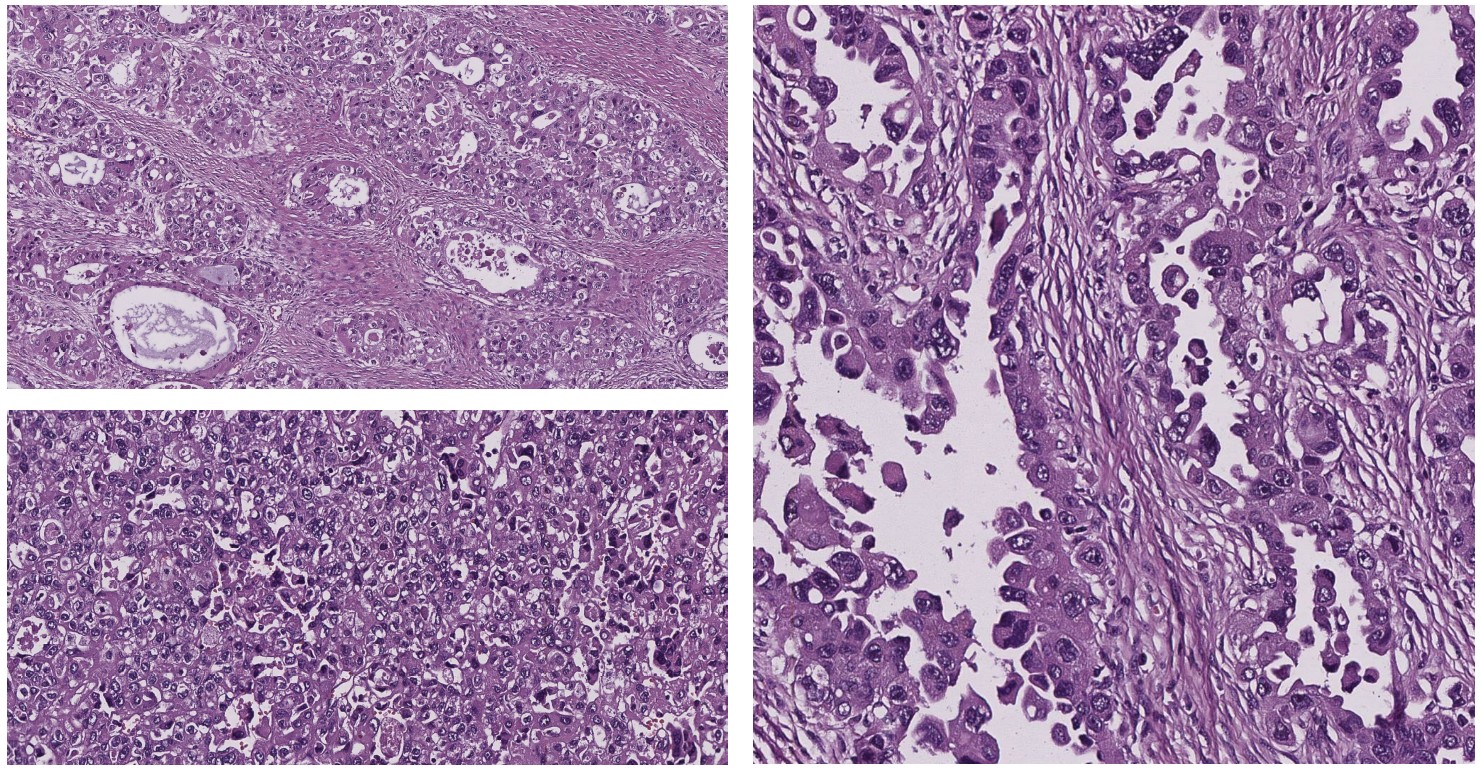
Paciente femenina de 75 años, con antecedentes de diabetes mellitus tipo 2, hipertensión arterial sistémica, alergia a la penicilina.
Inició padecimiento actual 5 meses previos, al presentar aumento del perímetro abdominal, se palpó un tumor en hipogastrio por lo cual acude a valoración. Se realizó resonancia magnética y posterior cirugía con ooforectomía derecha.





¿Cuál es el diagnóstico histopatológico?
a) Carcinoma seroso de alto grado.
b) Carcinoma endometrioide.
c) Carcinoma de células claras.
d) Carcinoma mucinoso.
¿Cuáles son los patrones histológicos de esta patología?
a) Tubuloquístico, sólido y papilar.
b) Sólido y papilar.
c) Tubuloquístico y cribiforme.
d) Papilar, cribiforme, tubuloquístico y sólido.
¿Qué marcadores de inmunohistoquímica son positivos en esta patología?
a) PAX8, WT1, receptores de estrógeno y receptores de progesterona.
b) Receptores de progesterona, receptores de estrógeno y HER2.
c) PAX8, Napsin A, HNF 1B.
d) HNF 1B, receptores de estrógeno y PAX8.
¿Cuál es el diagnóstico histopatológico?
Carcinoma de células claras.
¿Cuáles son los patrones histolíogicos de esta patología?
Tubuloquístico, sólido y papilar.
¿Qué marcadores de inmunohistoquímica son positivos en esta patología?
PAX8, Napsin A, HNF 1B.