







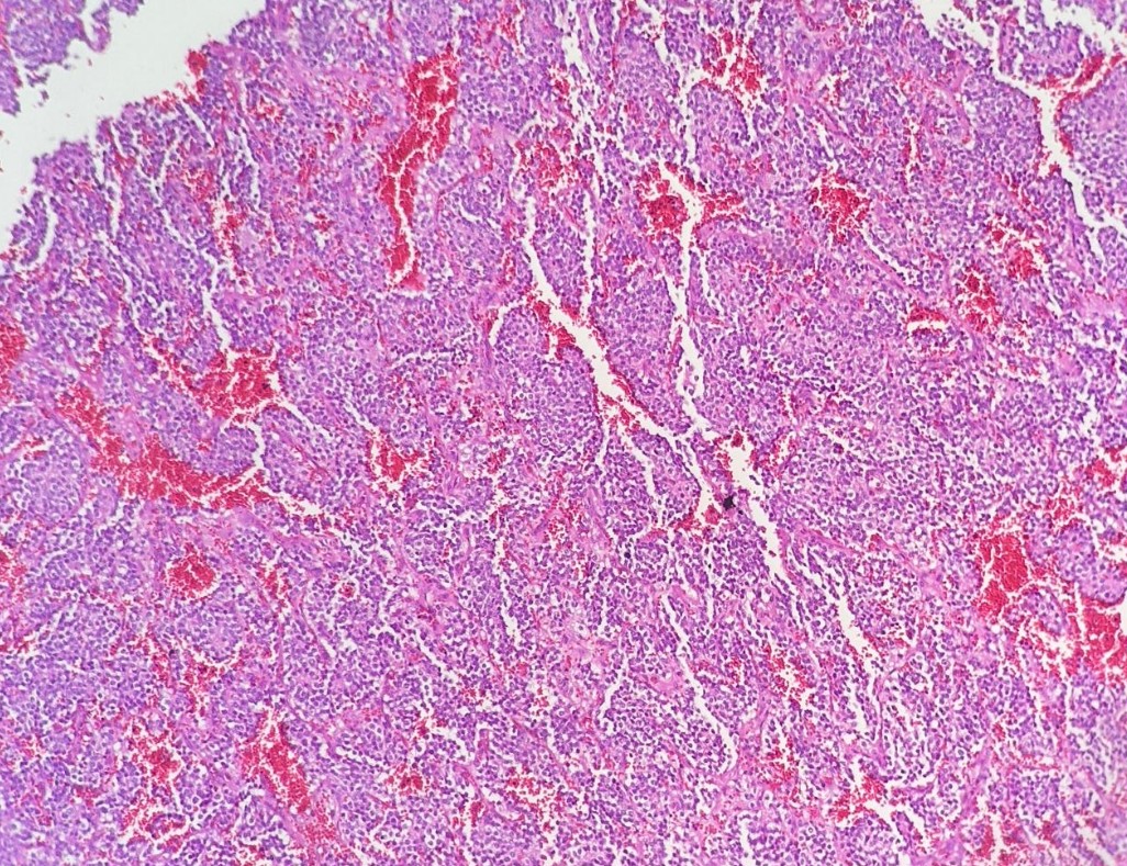
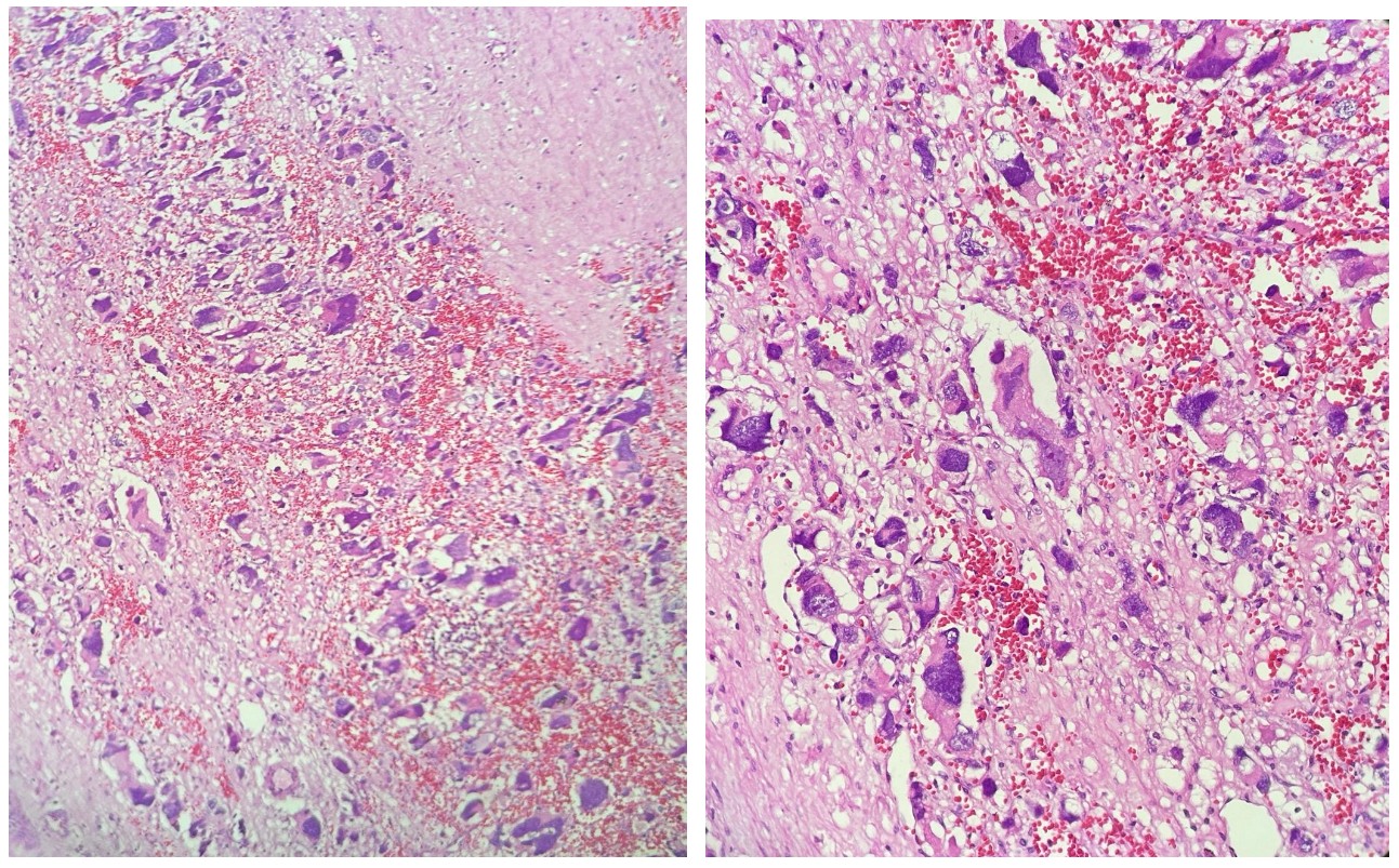
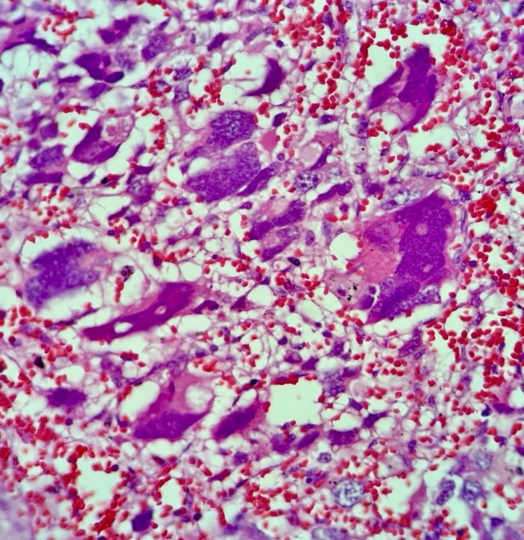
1. Con base a estas imágenes, cual sería tu diagnostico?
a) TUMOR GERMINAL MIXTO
b) RABDOMIOSARCOMA CON ANAPLASIA DIFUSA
c) NEUROBLASTOMA ANAPLASICO
d) TUMOR DE WILMS CON ANAPLASIA DIFUSA
2. Cual seria la inmunohistoquimica de mayor utilidad para el diagnostico
a) SINAPTOFISINA,CROMOGRANINA, FLI-1
b) WT1, CD 99, CD 56
c) MYO D1, MIOGENINA, ACTINA DE MUSCULO LISO ,CD99
d) OCT ¾ , CD 30 , CD 117
3. Es el 4 to tumor mas común en la infancia :
a) TUMOR GERMINAL MIXTO
b) RABDOMIOSARCOMA
c) NEUROBLASTOMA
d) TUMOR DE WILMS