• Mujer de 23 años
• Consulta por aumento del perímetro abdominal y dolor pélvico crónico
• USG: tumor ovárico derecho, componente sólido-quístico ORADS4, tamaño: 7.6 x 6.6 x 6.3cm.
• TAC abdominal: tumoración ovárica derecha, sólida-heterogénea de 8cm, asociada a líquido libre en cavidad abdominopélvica.
• ACE: 1.73 ng/mL
• DHL: 213 UI/L
• AFP: 1.94 ng/mL
• FB: <0.200 mUI/mL







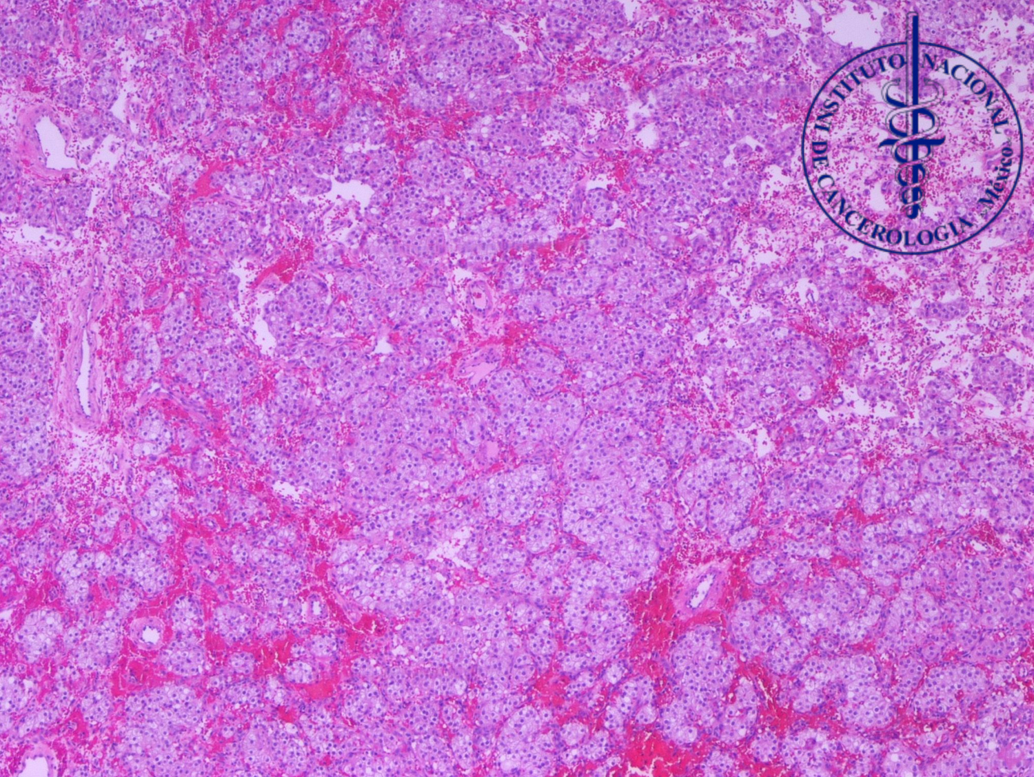
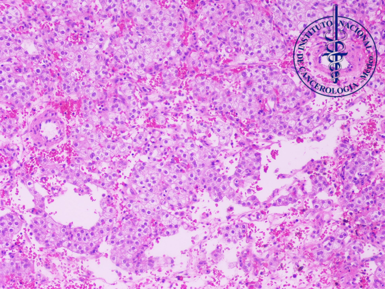
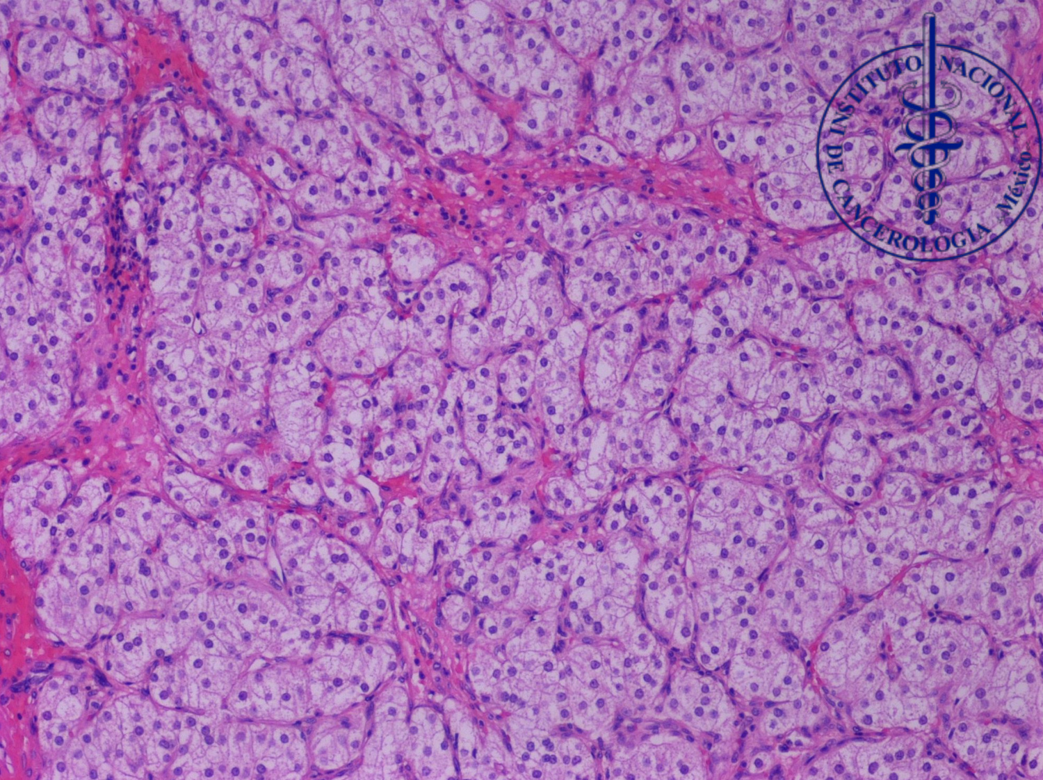
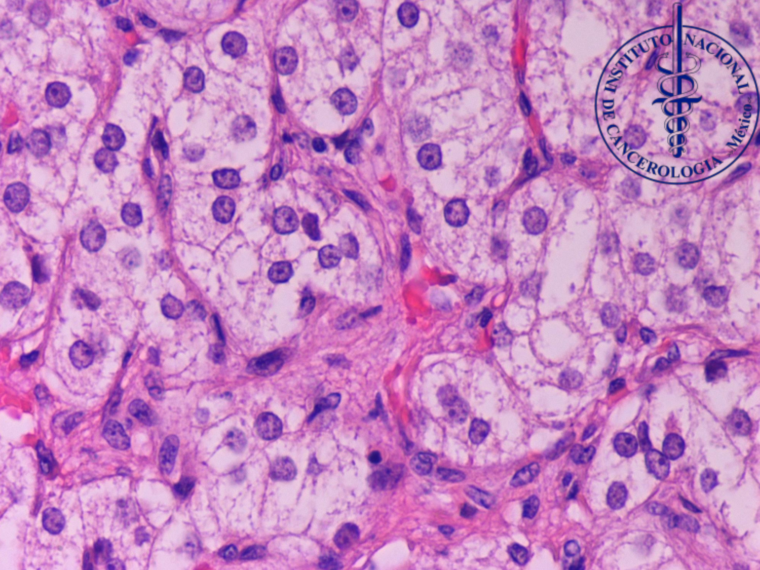
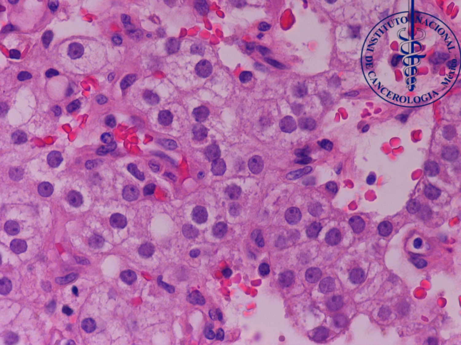
1.¿Con base en el cuadro clínico y los hallazgos histopatológicos, cual sería su diagnóstico?
A. Tumor de células esteroideas
B. Tumor de células de Sertoli
C. Metástasis de carcinoma renal de células claras
D. Carcinoma de células claras del ovario
2.¿Ésta entidad con que síndrome genético se asocia?
A. Síndrome de Lynch
B. Síndrome de Von Hippel-Lindau
C. Síndrome de Peutz-Jeghers
D. Síndrome de Gardner
3.¿Qué perfil de inmunohistoquímica, favorece el diagnóstico?
A. Inhibina +, Calretinina +, CD56 +, WT1+, Melan-A -, PAX8-.
B. Inhibina +, Calretinina +, SF1+, PAX8-, WT1-
C. PAX8+, CAIX+, CD10+, Inhibina-, Calretinina-.
D. Napsina+, PAX8+, CK7+, RE-, WT1-.