Mujer de 46 años de edad, que inició padecimiento actual hace 6 años con lesión palpable en mama izquierda, posteriormente continuó con nuevas lesiones, acudió con facultativo, quien refería como “normales”, hace un año comenzó a crecer, por lo que deciden realizar tumorectomía sin tratamiento adyuvante, posterior a esto, la neoplasia presenta nuevamente crecimiento, en esta ocasión de manera acelerada y se decide realizar mastectomía simple izquierda.
Laboratorios:
Hemoglobina: 7.3 g/dL, plaquetas: 1152.0 mcL, LDH: 243.0 UI/L.



1. De acuerdo a su diagnóstico, ¿cuál es la aseveración correcta?:
a) Estas lesiones con afección en mama tienen prevalencia < 5% en comparación con las que se presentan en el resto del cuerpo.
b) Estas lesiones con afección en mama tienen prevalencia > 50% en comparación con las que se presentan en el resto del cuerpo.
c) Es la neoplasia maligna mamaria más frecuente.
d) Su presencia se ha asociado a uso de implantes mamarios.
2. De acuerdo a su diagnóstico, la presente neoplasia se gradifica con la escala:
a) Scarff-Bloom-Richardson (SBR).
b) Características histológicas para Tumor Filodes (CAP/OMS).
c) Miller y Payne / RCB.
d) Sistema francés o FNCLCC.
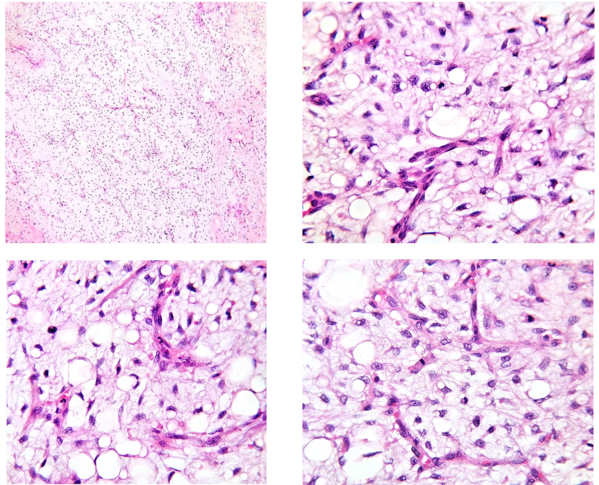
3. De acuerdo a su diagnóstico, ¿Qué hallazgo histológico es frecuente encontrar?:
a) Abundante componente de neoplasia intraductal.
b) Agregados linfoides con centros germinales.
c) Pérdida del componente epitelial debido al sobrecrecimiento del componente estromal.
d) Hiperplasia estromal pseudoangiomatosa (PASH).
4. De acuerdo a su diagnóstico, la presente neoplasia se etapifica con la escala:
a) TNM en cáncer de mama.
b) TNM en sarcomas de extremidades superiores y tronco superficial.
c) Clasificación de Lugano.
d) Ninguna de las anteriores.
5. Para confirmar su sospecha diagnóstica, ¿qué realizaría de las siguientes opciones?:
a) Búsqueda de pérdida de la expresión de MDM2 y CDK4 con sobreexpresión de Her2Neu.
b) TAC abdominal en búsqueda de lesión retroperitoneal.
c) Inmunohistoquímica para receptores de estrógenos, progesterona y Her2Neu.
d) Revisar la tumorectomía previa.