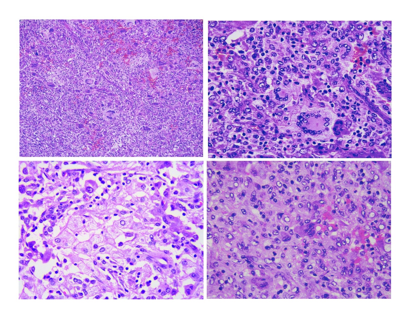
Masculino de 11 años con lesión tumoral en parrilla costal izquierda, sobre línea axilar media, móvil, no adherida a planos profundos, de cinco meses de evolución con crecimiento rápidamente progresivo, asociado a hiporexia y pérdida de 2 kg.
Estudios de laboratorio: Hemoglobina 10.6 g/dL, hematocrito 33.6%, plaquetas 844,000 mil, Deshidrogenasa láctica 152 UI/L, Fosfatasa alcalina 140 UI/L y proteína C reactiva de 5.9 mg/L.
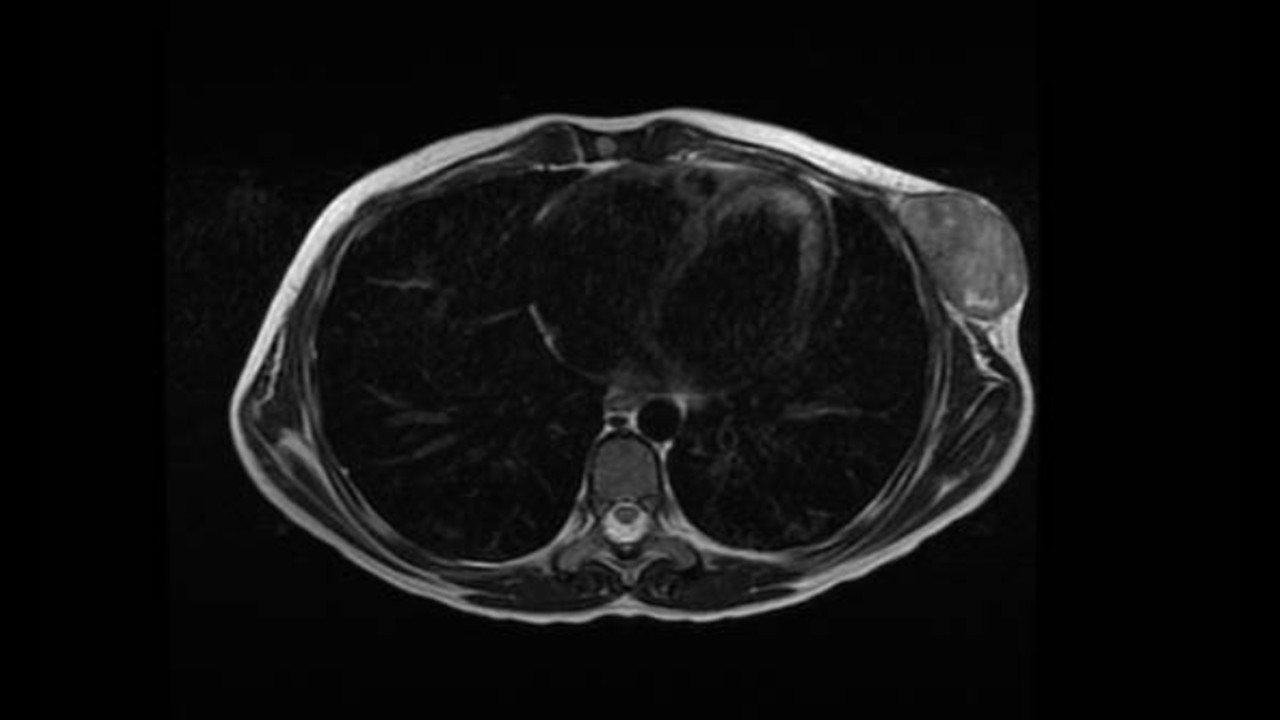
TAC: Lesión a nivel de la región axilar anterior a la altura de los arcos costales 5º y 6º izquierdos; es redondeada, de contornos bien definidos, de aspecto lobulado, hiperintensa en T1 y cuyas dimensiones son de 31 x 50 x 54 mm.



1.- Acorde a su sospecha diagnóstica ¿Cuál es la célula precursora de esta entidad?
a) Fibroblastos dérmicos
b) Células mesenquimales indiferenciadas
c) Monocitos plasmocitoides
d) Células gigantes multinucleadas de tipo osteoclasto
2.- Epidemiológicamente, ¿cómo es la presentación clínica?:
a) Afecta mayormente a hombres menores de 2 años
b) La forma visceral es la presentación clínica más frecuente
c) Lesión de crecimiento rápido asociada a dolor intenso
d) Tumoración infiltrante con síntomas respiratorios por compresión
3.- ¿Cuál es la mutación asociada a esta entidad?
a) t(X;18)(p11.2;q11.2)
b) t(17,22)(q22;q13) COL1A1::PDGFB
c) Fusión EWSR1::FLI1
d) Mutación del BRAF-V600E
4.- Según la sospecha diagnóstica, ¿Cuál es la complicación con mayor mortalidad asociada?
a) Metástasis cerebrales
b) Síndrome de lisis tumoral
c) Síndrome de activación macrofágica
d) Hipercalcemia maligna
5.- ¿Cuáles son las características esperadas en la microscopia electrónica?
a) Abundante retículo endoplásmico rugoso, tonofilamentos y lámina basal incompleta
b) Citoplasma escaso con prolongaciones citoplásmicas delgadas y aparato de Golgi pequeño
c) Vacuolas lipídicas sin delimitación membranosa, cuerpos mieloides y hendiduras de colesterol
d) Gránulos de Birbeck