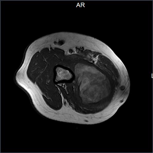
Mujer de 45 años con tumor en muslo derecho de lento crecimiento. Se realizó resección amplia de la lesión.






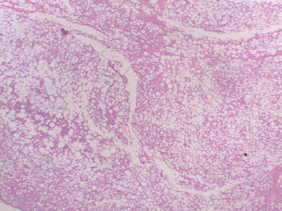
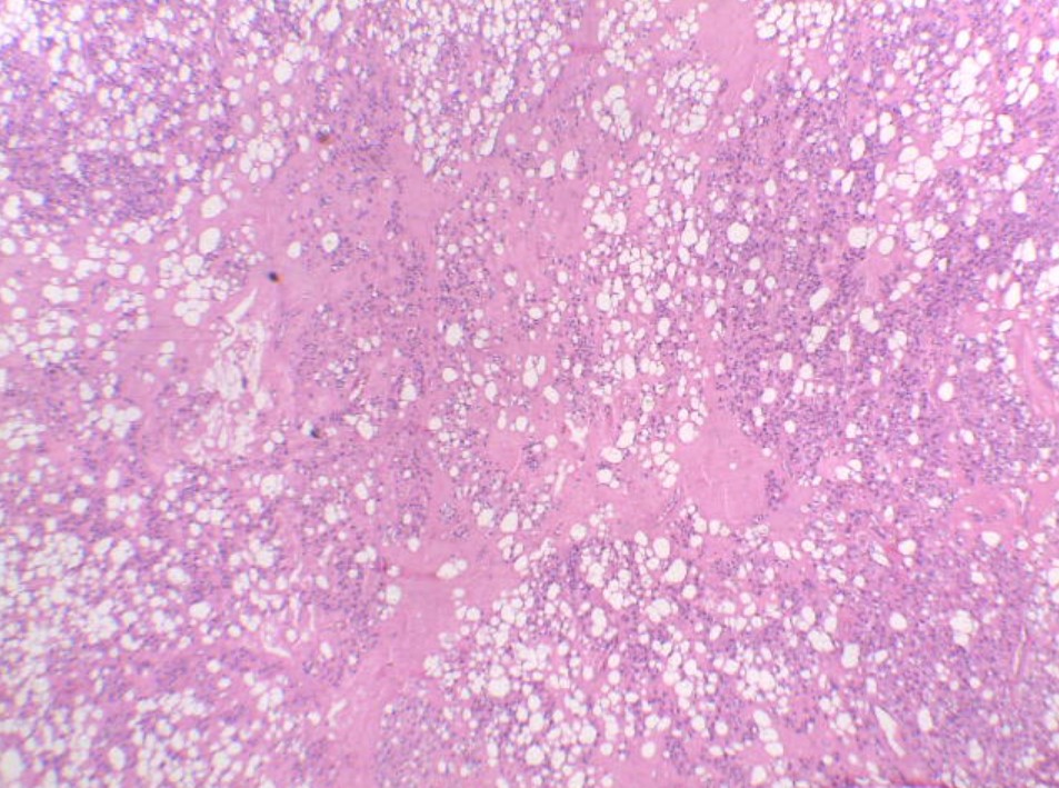
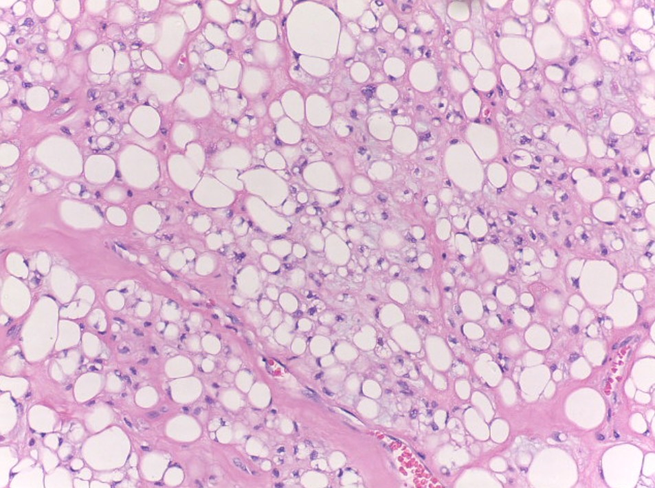
Lipoma condroide
Khin Thway, Rashpal Singh, Cyril Fisher. Chondroid lipoma: an update and review. Annals of Diagnostic Pathology 20112;16:230