HISTORIA CLÍNICA
Mujer 45 años
Menarca 14 años, Ritmo 21 x 3 G4 P: 3 C: 0 A: 1
Padecimiento:
Aumento de volumen de mama derecha y presencia de nódulos axilares ipsilaterales
Mastografía:


Se realizó Biopsia con aguja de corte con Dx de carcinoma ductal infiltrante SBR 8 en etapa clínica IIIC recibió quimioterapia neoadyuvante. Se realizó mastectomía con linfadenectomía ipsilateral.
Imagen macroscópica del tumor residual:

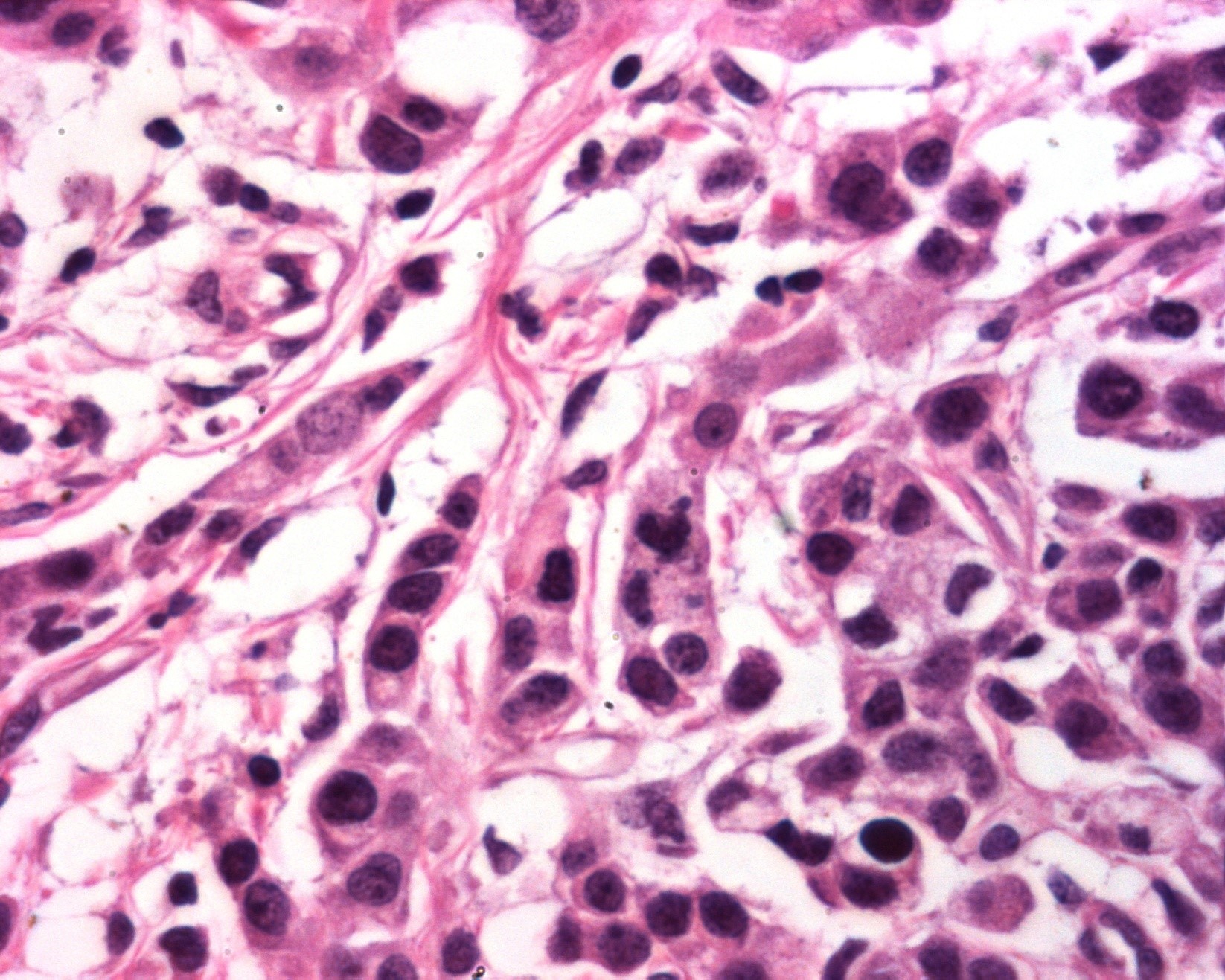
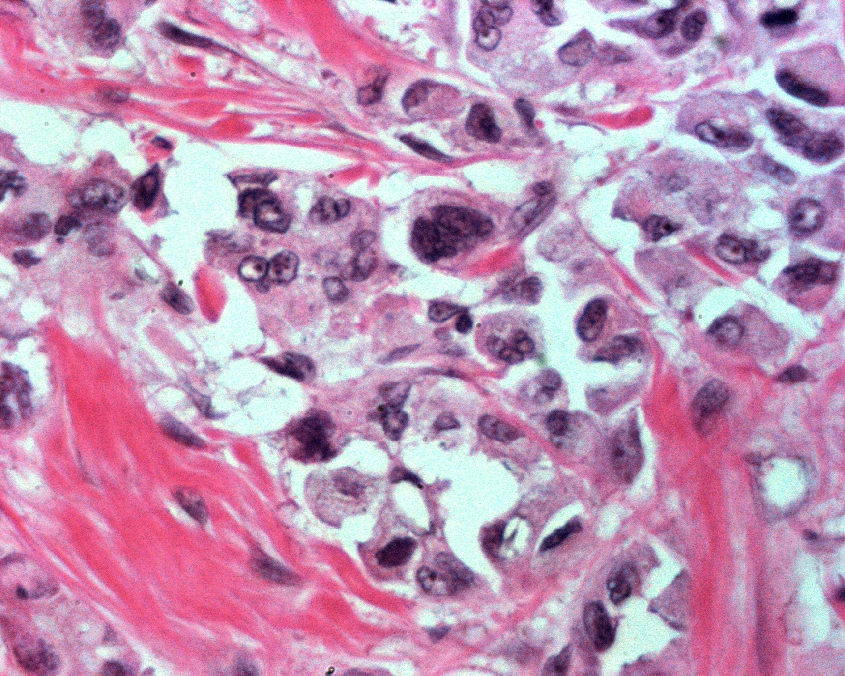
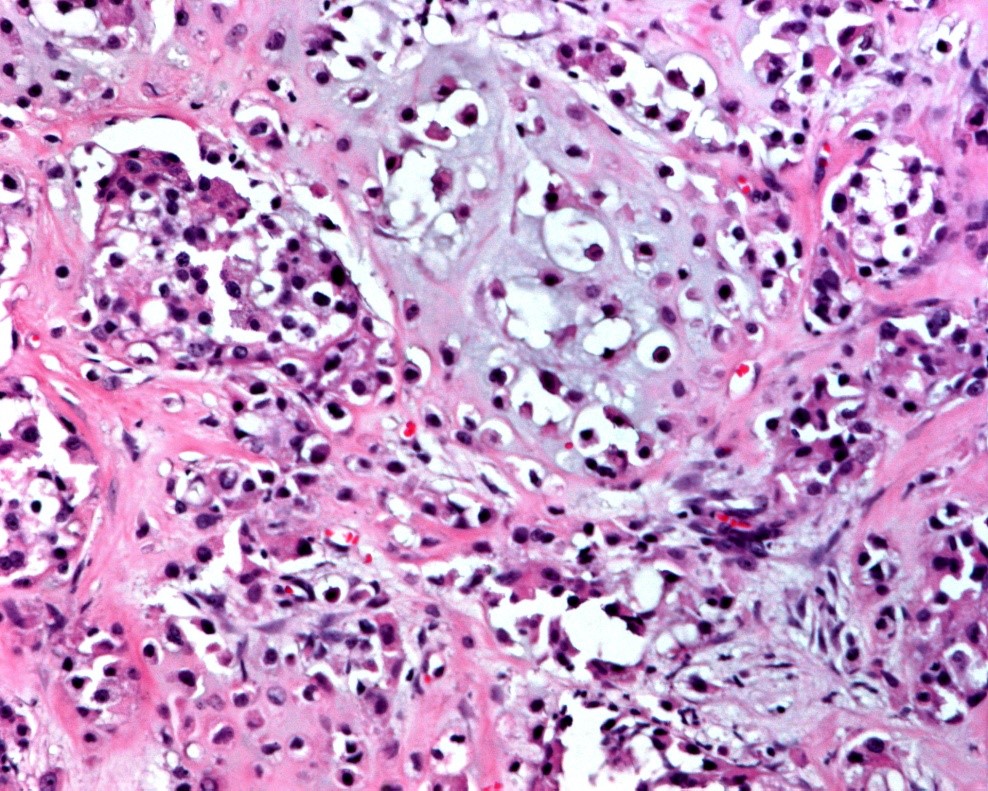
Imágenes microscópicas de la neoplasia en mama:




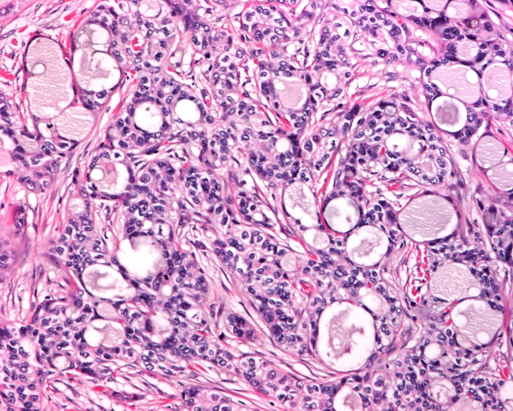
Cortes histológicos de nódulos en axila:


PREGUNTAS:
1) Cuál es su diagnóstico?
2) Que clasificación usaría para este caso y a que categoría corresponde?
3) Que factores están asociados a la sobrevida de la paciente?
1) Cuál es su diagnóstico?
Carcinoma metaplásico productor de matriz o de tipo mixto, con respuesta categoría I de RCB o Miller y Payne 3.
2) Que clasificación usaría para este caso y a que categoría corresponde?
Hay varias clasificaciones vigentes:
** Organización Mundial de la Salud que clasifica el carcinoma metaplásico en 2 grandes grupos:
a)Tipo epitelial
b)Tipo mixto
** Oberman y cols.:
- Carcinoma fusocelular
- Carcinoma ductal infiltrante con extensa metaplasia escamosa
- Carcinoma invasor con metaplasia pseudosarcomatosa
**Wargotz y cols
-Carcinoma productor de matriz
-Carcinoma epidermoide
-Carcinoma fusocelular
-Carcinosarcoma
-Carcinoma metaplásico con células gigantes de tipo osteoclasto
3) Que factores están asociados a la sobrevida de la paciente?
El perfil hormonal se ha asociado con menor sobrevida en estas pacientesm, así como el estado ganglionar y la invasión linfovascular:

BIBLIOGRAFÍA:
Journal Oncological Sciences 2016; 38-42
Breast J. 2019;00:1-7
Journal of Clinical and Diagn Res 2018;12(7):EC10-EC13
Hum Pathol 2003: 34 (10):1009-1015
Am J Surg Pathol 2005;347-353
Advances in Surgical Pathology. Breast Cancer. Hameed, O. 2015:87-99
Annals of Diagnostic Pathology. 2015; 19: 24–28
Experimental Hematology & Oncology 2013;2;31